Journal of Advanced Therapeutic Science

Journal of Advanced Therapeutic Science

Journal of Advanced Therapeutic Science

Current Issue Volume No: 1 Issue No: 1

Case Report Open Access Available online freely Peer Reviewed Citation

Investigating The Connection Between X-Linked Dominant Hypophosphatemic Rickets Syndrome and Endodontic Periapical Lesions: A Case Report

Article Type: Case Report

1Dentist and endodontist, private practice in Belgium

Abstract

Vitamin D deficiency is known to affect bone healing 1. In this case report, the potential link between vitamin D, calcium, and phosphorus deficiency and periapical lesions is explored, offering fresh insights into the complex relationship between systemic health and dental pathology. This pathology is caused by a mutation in the PHEX gene on chromosome X, which encodes a protein necessary for vitamin D synthesis and phosphate reabsorption, which are essential for the mineralization of bone and teeth 2, 3. A 25-year-old man with rickets and vitamin D deficiency presented to our clinic with recurrent abscesses in multiple teeth. Radiographic imaging revealed periapical lesions on multiple teeth with advanced endo-perio lesions on teeth 26 and 16, and a negative cold test on all his teeth. Despite successful endodontic treatment, the patient’s compromised metabolic healing raised concerns about the prognosis. This case report highlights the intricate interplay between vitamin and mineral deficiencies and dental health, emphasizing the need for cautious management and long-term follow-up.

Author Contributions
Received 27 Jan 2024; Accepted 11 Jul 2024; Published 18 Jul 2024;

Academic Editor: Anubha Bajaj, Consultant Histopathology, A.B. Diagnostics, New Delhi, India.

Checked for plagiarism: Yes

Review by: Single-blind

Copyright ©  2024 Abdelhak Kiouah

License
Creative Commons License     This is an open-access article distributed under the terms of the Creative Commons Attribution License, which permits unrestricted use, distribution, and reproduction in any medium, provided the original author and source are credited.

Competing interests

The authors declare no conflict of interest.

Citation:

Kiouah Abdelhak (2024) Investigating The Connection Between X-Linked Dominant Hypophosphatemic Rickets Syndrome and Endodontic Periapical Lesions: A Case Report. Journal of Advanced Therapeutic Science - 1(1):6-19.

Download as RIS, BibTeX, Text (Include abstract )

DOI Coming Soon

Introduction

linked hypophosphatemia (XLH) is a rare and dominant hereditary disorder linked to chromosome X, characterized by impaired renal phosphate reabsorption and vitamin D synthesis, leading to a deficiency in minor bone remodeling and teethooth abscesses 4, 5.

Consent from the patient

Written informed consent was obtained from the patient to compile this comprehensive report.

Case report

We present the case of a 25-year-old Caucasian man with a family history of rickets. His brother has the same syndrome with dental and bone complication. They have inherited this disease from their mother. The patient doesn’t know if there is other member of his family who suffer from it. The patient has a brother with the same syndrome. The patient presented with gingivitis and a history of recurrent abscesses in teeth 14, 15, and 24. Clinical examination revealed several coronal restorations, porous enamel, negative sensitivity tests (performed with cotton pellets and Endo- Ice by Coltene) on all teeth, and positive percussions (performed with a mirror) on teeth 14, 15, and 24.

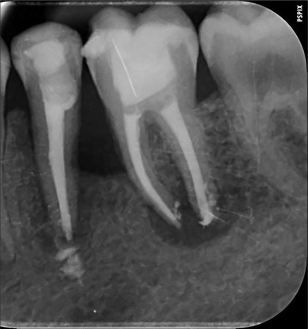
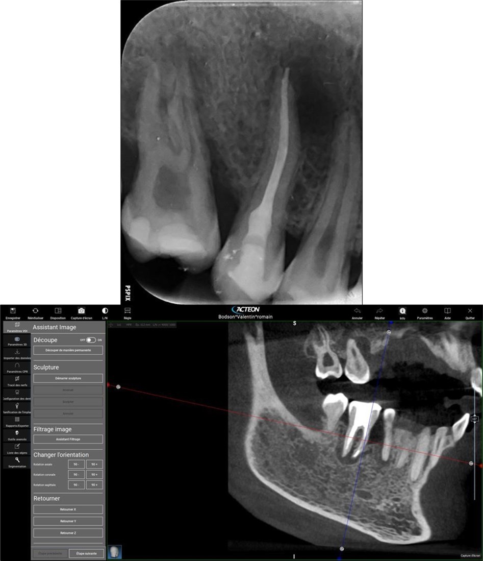
Periapical radiography (phosphorus number 2 plaque and X-MIND® Unity; Acteon) and cone-beam computed tomography (X-MIND® 3D; Acteon) (80 × 80, 150 Micron) were performed and showed periapical lesions on teeth 14, 15, 16, 24, 25, 26, 35, 36, and 46, as well as advanced endo-perio lesions on teeth 26 and 16. orthopantomogram (X-MIND® 3D; Acteon) and bitewings (phosphorus number 2 plaque and X-MIND® Unity; Acteon) also showed wide pulp chambers and roots canals. Figure 1, Figure 2

Figure 1.1 and 2 show a wide pulp chamber, root canals, and several restorations.
 1 and 2 show a wide pulp chamber, root canals, and several restorations.

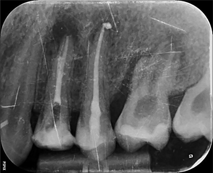
Figure 2.2. 3, 4, and 5 show periapical lesions on teeth 15, 16, 24, 25, 26, 35, 36, and 46.
 2. 3, 4, and 5 show periapical lesions on teeth 15, 16, 24, 25, 26, 35, 36, and 46.





Rickets is a disease of growing bones observed in children and adolescents due to deficiencies in calcium, phosphate, and/or vitamin D. This disease leads to inadequate mineralization of the osteoid tissue in the growth plate, bone matrix, and teeth. The most frequent cause of rickets continues to be nutritional vitamin D deficiency, while genetic causes of rickets (hereditary rickets) are rare, accounting for approximately 13% of all cases of rickets 1.

Several rare genetic causes of rickets have been described, which can be divided into two groups. The first group consists of genetic disorders of vitamin D biosynthesis and action, such as vitamin D dependent rickets type 1A (VDDR1A), vitamin D dependent rickets type 1B (VDDR1B), vitamin D dependent rickets type 2A (VDDR2A), and vitamin D dependent rickets type 2B (VDDR2B). The second group includes genetic disorders of excessive renal phosphate loss (hereditary hypophosphatemic rickets) due to the impairment of renal tubular phosphate reabsorption as a result of FGF23-related or FGF23-independent causes 1. In this case report, we focused on hypophosphatemic rickets that affected the patient, although other forms of rickets are also discussed.

The patient suffered from a form of hypophosphatemic rickets known as X- linked dominant hypophosphatemia (XLH) syndrome, which is known to affect 1 in every 20,000 births. This syndrome affects both sexes equally in terms of disease severity because of random X-inactivation in girls 1. Typical clinical findings in children include large pulp chambers and root canals, porous enamel, dental abscesses, periapical lesions, short stature (as present in this patient), wrist enlargement, rachitic rosary, bowed legs, frontal bossing, and bone pain. Osteomalacia, bone pain, dental abscesses, and spinal canal stenosis are typical presentations in adult patients due to the absorption of calcium and phosphorus into the enamel, dentin, and bone 6, 7.

In its native form, vitamin D is inactive (25-hydroxy vitamin D). Its activation in the liver and kidneys depends on two enzymes, namely 25- hydroxylase and 1-alpha-hydroxylase 7, 8. In its active form, namely calcitriol (1,25-hydroxy-3 vitamin D), vitamin D enables the fixation of calcium and phosphorus into the bone and teeth through the formation of a phosphate complex, allowing for mineralization 6. Table 1

Table 1.Activation and function of vitamin D
 Activation and function of vitamin D

XLH is characterized by an inactivation mutation in the PHEX gene, a phosphate regulator endopeptidase X-linked homolog that codes for the protein Phex 9, 10:

a) The expression of a transmembrane endopeptidase expressed in osteoblasts and odontoblasts is downregulated via an unknown mechanism.

b) The fibroblast growth factor, FGF23, reduces the expression of the renal transporters of phosphate (NPT2A and NPT2C) and calcidiol at high concentrations of calcium and phosphorus.

c) Proteins expressed in bone and teeth modulate mineralization, which ends when this process is completed. Osteopontin is degraded by PHEX once mineralization is complete.

The abovementioned mutation in the PHEX gene results in 11, 12:

a) The overexpression of FGF23, which leads to a high diminution of calcidiol and the renal transporter of phosphate.

b) An accumulation of osteopontin in the extracellular matrix of bone and teeth. These changes result in a lower rate of calcium and phosphate fixation into the bone and teeth, leading to soft bone, a minor remodeling of bone, and greater porosity in the enamel, as well as clefts in dentin. These facilitate the infiltration of bacteria in the pulp, giving rise to dental abscess, periapical lesions, and minor or slow healing of these lesions.

Patients with XLH require supplementation with high levels of vitamin D, phosphate, and calcium throughout their life to avoid bone remodeling and tooth problems 13. The patient in this case report had not taken their supplements for 3 years, did not brush their teeth well, and smoked 20 cigarettes/day, complicating the healing of lesions.

Treatment and management

The patient was treated as follows:

1. The patient was referred to an endocrinologist for high-dose supplementation of vitamin D, calcium, and phosphorus (100,000 IU of vitamin D monthly).

2. A demonstration of brushing with an electric toothbrush (Oral-B IO9) twice per day, flossing, and scaling of all teeth was performed. Only teeth 26 and 16 presented with a periodontal pocket of 6 mm (William periodontal probe; R&S) and mobility type 2, showing an Endo-Perio combined lesion type III (Guabivala and Darbar Classification, 2004)

3. Endodontic root canal treatment and retreatment were performed on teeth 14, 15, 16, 25, 26, 35, 36, and 46 using a K manual file 10/30/40/50/60/70 (Dentsply-Maillefer). Hyflex Edm (Coltene) 25/06 was used for the preparation of the canals, which were irrigated with 3% sodium hypochlorite and 17% ethylenediaminetetraacetic acid. Gutta-percha were calibrated to the diameter of the root apex constriction and obturation was conducted using Endosequence Bc Sealer (Brasseler) 15.

All of the endodontic treatments were conducted using a loupe at ×5 magnification (EyeZoomTM; Orascoptic).

Complete healing of periapical lesions and treatment of teeth 26 and 16 with advanced endo-perio lesions posed challenges due to the patient’s delayed supplementation. In this case, surgical endodontic procedures and the extraction of teeth with advanced endo-perio lesions were considered risky because of the underlying metabolic healing impairment. Figure 3

Figure 3.6. 7, 8, 9, and 10 showing postoperative periapical radiographs of these endodontic treatments.
 6. 7, 8, 9, and 10 showing postoperative periapical radiographs of these endodontic treatments.





Follow-up and monitoring

A long-term follow-up period is crucial to monitor the healing process. Clinical and radiographic evaluations were initially scheduled at 3 and 6 months, and then annually. Blood tests performed by an endocrinologist to monitor the levels of vitamin D, phosphorus, and calcium. Despite successful treatment, the patient’s compromised metabolic healing raised concerns regarding prognosis.

Discussion

The current patient’s case highlights the intricate relationship between systemic health and dental pathology. Delayed supplementation and complex clinical presentations both posed a challenge to achieving complete healing of the patient’s lesions. Monitoring of patient progression and metabolic parameters was recommended to the patient’s endocrinologist (the evaluation of treatment utilized since 2018 for this condition) to gain insights into the impact of vitamin deficiency on healing outcomes. Burosumab, a monoclonal antibody targeting the FGF23 receptor, blocks its overexpression to normalize the concentrations of calcium, vitamin D, and phosphorus 16, 17.

As mentioned at the beginning of this case report, there are other forms of rickets, which are summarized in Table 2 and Table 3. These include vitamin D-dependent rickets (Table 2), which are characterized by disorders in the biosynthesis of vitamin D or its receptor activity, resulting in vitamin D deficiency (type 1A (VDDR1A) and type 1B (VDDR1B)) or resistance (type 2A (VDDR2A) and type 2B (VDDR2B)). All vitamin D dependent rickets present with similar clinical and biochemical manifestations, including findings related to hypocalcemia (irritability, fatigue, muscle cramps, and seizures) and rickets (craniotabes, delayed closure of fontanelles, frontal bossing, enlarged wrists, bowed legs, short stature, and bone pain) 1. Additionally, hypophosphatemic rickets (Table 3) can be categorized as FGF23-dependent (linked to a mutation in FGF23) or FGF23- independent (linked to a mutation in another protein involved in phosphate reabsorption in the kidneys) 1.

Table 2. Categorization of vitamin D-dependent rickets
Disease Inheritance Genetic defect Protein defect
Vitamin D- dependentrickets type 1A Autosomal recessive Cyp27B1 mutation 1-alpha-hydroxylase
Vitamin D- dependentrickets type 1B Autosomal recessive Cyp2R1 mutation 25-hydroxylase
Vitamin D- dependentrickets type 2A Autosomal recessive Vitamin D receptor gene mutation Vitamin D receptor
Vitamin D- dependentrickets type 2B  Unknown Heterogeneous nuclearribonucleoprotein Cgene overexpression Heterogeneous nuclearribonucleoprotein C

Table 3. Categorization of hypophosphatemic rickets
Disease Abbreviation Gene Protein inheritance Clinical characteristics
FGF23-dependent HR
X-linked dominant hypophosphatemic rickets XLDHR PHEX Phosphate regulating endopeptidase X-linked dominant Increased FGF23, decreased renal phosphorous reabsorption
Autosomal dominant hypophosphatemic rickets ADHR FGF23 Fibroblast growth factor 23    
Autosomal recessive hypophosphatemic rickets Type 1 ARHR1 DMPI dentin matrix acidic phosphoprotein 1 AR  
Autosomal recessive hypophosphatemic rickets Type 2 ARHR2 ENPP1 Ectonucleotide pyrophosphatase / phosphodiesterase 1 AR  
Hypophosphatemic rickets with hyperparathyroidism HRHPT 9:13 balanced translocation affecting KL gene α-klotho unknown Increased alpha-klotho and FGF23 levels and beta-glucuronidase activity. Hypercalciuria, nephrocalcinosis. parathyroid hyperplasia
Osteoglophonic dysplasia   FGFRI Fibroblast growth factor receptor 1 AD Craniofacial abnormalities, increased FGF23
McCune-Albright Syndrome   GNAS Guanine nucleotide binding protein, alpha Postzygotic somatic mutation Fibrous dysplasia, increased FGF23
Raine syndrome   FAM20C Family with sequence similarity 20. AR member c (FAM20C) AR Generalized osteosclerosis, increased FGF23
Opsismodysplasia   INPPLI Inositol polyphosphate phosphatase-like 1 AR Craniofacial abnormalities, increased FGF23
FGF23-independent HR
Hereditary HR with Hypercalciuria HHRH SLC34A3 Sodium-dependent phosphate transport protein 20 AR Hypercalciuria, hypophosphatemia, nephrocalcinosis
Hypophosphatemic rickets with nephrolithiasis and osteoporosis type 1 NPHLOPI SLC34A1 Sodium-dependent phosphate transport protein 2A AD, AR Hypercalciuria, hypophosphatemia, nephrocalcinosis, proximal tubulopathy
Infantile hypercalcemia Type 2: Fanconi renotubular syndrome Type 2 HCINF2 FRTS2        
Hypophosphatemic rickets with nephrolithiasis and osteoporosis type 2 NPHLOP2 SLC9A3R1 Sodium hydrogen exchanger regulatory factor 1 (NHERF1) AD Hypercalciuria, nephrocalcinosis and decreased bone mineral density
Dent disease 1 CLCN5 Chloride Voltage-Gated Channel 5 X-linked, recessive Hypercalciuria, hypophosphatemia, nephrocalcinosis, renal failure. proteinuria, and glucosuria
Dent disease 2 or Lowe syndrome OCRLI Inositol Polyphosphate-5- Phosphatase X-linked, recessive Mild mental retardation, developmental delay, hypophosphatemia, hypercalciuria, nephrocalcinosis, amino aciduria, and proteinuria

AD: autosomal dominant, AR: autosomal recessive. FGF23: Fibroblast growth factor 23. PHEX: Phosphate regulating endopeptidase homolog x-linked, XLDHR: X-linked dominant hypophosphatemic rickets, ADHR: Autosomal dominant hypophosphatemic rickets, ARHRI: Autosomal recessive hypophosphatemic rickets Type 1, DMPI: Dentin matrix acidic phosphoprotein, ENPPI: Ectonucleotide pyrophosphatase/phosphodiesterase 1, FGFRI: Fibroblast growth factor receptor 1, INPPLI: Inositol polyphosphate phosphatase-like 1. CLCNS: Chloride voltage-gated channel 5

Conclusion

This case report emphasizes the importance of considering systemic factors in complex endodontic procedures. The patient’s recurrent abscesses, advanced endo- perio lesions, and compromised metabolic healing highlight the need for cautious management and long-term follow-up. This report also contributes to the understanding of the complex interplay between vitamin deficiency, wound healing, and dental health, in which long-term follow-up, including clinical and radiographic assessments and blood tests, is essential for monitoring the healing and metabolic parameters. However, despite successful treatment, compromised metabolic healing raises concerns regarding overall prognosis. This article is important for clinicians and researchers in the field of genetic disorder and dentistry to understand how a systemic disease can have dental complications.

References

  1. 1.Acar S, Demir K, Shi Y. (2017) Genetic causes of rickets.Journal of clinical research in pediatric endocrinology,9(Suppl 2). 88.
  1. 2.Baroncelli G I, Mora S. (2021) X-Linked Hypophosphatemic Rickets: Multisystemic Disorder in Children Requiring Multidisciplinary Management. Front Endocrinol (Lausanne). 6, 688309-10.
  1. 3.Beltes C, Zachou E. (2012) Endodontic management in a patient with vitamin D–resistant. , rickets.Journal of 38(2), 255-258.
  1. 4.Casella S J, Reiner B J, Chen T C, Holick M F, Harrison H E. (1994) A possible genetic defect in 25-hydroxylation as a cause of rickets. , J Pediatr 124-929.
  1. 5.Chaussain-Miller C, Sinding C, Wolikow M, J, Godeau G et al. (2003) Dental abnormalities in patients with familial hypophosphatemic vitamin D-resistant rickets: prevention by early treatment with 1-hydroxyvitamin D.The. , Journal of 142(3), 324-331.
  1. 6.Chesher D, Oddy M, Darbar U, Sayal P, Casey A et al. (2018) Outcome of adult patients with X-linked hypophosphatemia caused by PHEX gene mutations. , J Inherit Metab Dis 41, 865-876.
  1. 7.Cohen S, G L Becker. (1976) Origin, diagnosis, and treatment of the dental manifestations of vitamin D-resistant rickets: review of the literature and report of case.Journal of. , the American Dental Association 92(1), 120-129.
  1. 8.Grzanka K. (2004) Kucharz EJ. Krzywica oporna na witamine D [Vitamin D-resistant rickets]. Wiad Lek. Polish. PMID: 57-11.
  1. 9.Jin X, Xu Y, Liu W, Shi Z, Sun Y et al. (2023) Dental manifestations and treatment of hypophosphatemic rickets: A case report and review of literature.BDJ. 9(1), 2.
  1. 10.Kinoshita Y. (2018) Anti-FGF23 antibody therapy in patients with FGF23-related hypophosphatemic rickets and osteomalacia.]. Clin Calcium. , Japanese. PMID: 28(10), 1373-1379.
  1. 11.Lammens J, Harvengt P, Cavalier E, Kaux J F, Lombet J et al. (2021) Consensus Recommendations for the Diagnosis and Management of X-Linked Hypophosphatemia in Belgium. Front Endocrinol (Lausanne). 25, 686401-33815294.
  1. 12.Laurent M R, J De Schepper, Trouet D, Godefroid N, Boros E et al. (2021) Consensus Recommendations for the Diagnosis and Management of X-Linked Hypophosphatemia in Belgium. Front Endocrinol (Lausanne). 25, 686401-33815294.
  1. 13.Linglart A, Biosse-Duplan M, Briot K, Chaussain C, Esterle L et al. (2014) Therapeutic management of hypophosphatemic rickets from infancy to adulthood.Endocrine connections,3(1). 13-30.
  1. 14.Marik B, Bagga A, Sinha A, Khandelwal P, Hari P et al. (2022) Genetic and clinical profile of patients with hypophosphatemic rickets. Eur J Med Genet. 2022 Aug;65(8): 104540. doi: 10.1016/j.ejmg.2022.104540. Epub 35738466.
  1. 15.A, T O Carpenter, M L Brandi. (2019) Continued Beneficial Effects of Burosumab in Adults with X-Linked Hypophosphatemia: Results from a 24- Week Treatment Continuation Period After a 24-Week Double-Blind Placebo- Controlled Period. Calcif Tissue Int 105. 271-284.
  1. 16.Jr Siqueira, F J, I N Rôcas. (2022) (Eds.)Treatment of endodontic infections.
  1. 17.Torabinejad M, R E Walton, A F Fouad, Lévy G, SCOTT J. (2016) Endodontie: principes et pratique. Elsevier Health Sciences.