Granulomatous Gastritis: A Clinicopathologic Analysis of 39 Biopsy Cases
Abstract
Introduction:
Granulomas in gastric biopsy specimens are extremely rare. The final diagnosis of granulomatous gastritis is based on morphological findings, clinical and laboratory data. The aim of our study is to evaluate the clinical fields and to determine the etiology of gastric granulomatosis in our experience
Patients and Methods:
Thirty nine patients were reviewed retrospectively in the department of pathology of Habib Thameur between 2000 and 2018. Slides from all cases were stained by hematoxylin and eosin. The clinic-pathologic findings and the associated lesions were analyzed and the final etiology of the gastric granulomatosis was noted.
Results:
Biopsies from the 39 patients diagnosed as having granulomatous gastritis were reviewed. Mean age was 49 years (24 – 96) and sex ratio was 0,25 (M/F=8/31). Indication of endoscopy was gastric pain in 12 cases, chronic diarrhea in 6 cases, anemia in 2 cases, vomiting in 4 cases. Other symptoms were rare. Upper endoscopy was normal in 8 cases, showed antral gastropathy in 20 cases (erythematous in 6 cases, nodular in 8 cases and ulcerated in 6 cases). In four cases, fundic lesions were observed. Granuloma was unique in 14 cases and multiple in 25 cases. Localisation of granuloma was the antrum in 25 cases, the fundus in 7 cases, and both of them in 7 cases. An associated chronic gastritis was noted in 25 cases. Concerning the etiology, 10 of our patients had Crohn's disease while 6 of them had gastric tuberculosis. In five cases, H Pylori was the retained cause of gastric granulomatosis. In the other patients, the final diagnosis was sarcoidosis (n=3), foreign body reaction (n=1), yersiniosis (n=1). In our series, thirteen cases were unclassifiable.
Conclusion:
Although many cases remain unclassified, in most cases of granulomatous gastritis, a diagnosis of Crohn's disease or tuberculosis could be established. If this cases are excluded, an association between H. pylori and granulomatous gastritis cannot be ruled out. The others causes are extremely rare.
Author Contributions
Academic Editor: Junfei Jin, Laboratory of Hepatobiliary and Pancreatic Surgery, Affiliated Hospital of Guilin Medical University, China.
Checked for plagiarism: Yes
Review by: Single-blind
Copyright © 2018 Jouini Raja, et al.
This is an open-access article distributed under the terms of the Creative Commons Attribution License, which permits unrestricted use, distribution, and reproduction in any medium, provided the original author and source are credited.
Competing interests
The authors have declared that no competing interests exist.
Citation:
Introduction
Granulomatous gastritis (GG) is a rare entity characterized histologically by the presence of epithelioid granulomas and giant cells in the gastric mucosa. Its incidence is estimated between 0.27 and 0.35% in the general population according to the largest series published 1. Causes of GG can be divided into infectious diseases, non-infectious diseases, and idiopathic which are observed in approximatively 25% of cases. Etiologies are dominated by Crohn's disease (37%], the foreign body reaction (15%), malignant lesions (10%) and sarcoidosis (5%) 2. But etiologic diagnosis is often difficult and idiopathic forms are frequent in 25% of cases 2 which makes this entity very heterogeneous. The aim of our study was to evaluate the clinical, histological and endoscopic finding of granulomatous gastritis and to determine the etiologies of this disease in our experience.
Patients and Methods
Thirty nine cases of GG were reviewed between 2000 and 2018 in the department of pathology of Habib Thameur’s Hospital. Epidemiological, clinical and endoscopic data of each patient were investigated. Upper endoscopy was performed without sedation and both antral and fundic biopsy samples were performed. If abnormalities were found in the esophagus or in the duodenum, biopsies were also performed in these sites. Histological slides were stained systematically by hematoxillin and eosin. Numbers and localization of granulomas were noted, as well as associated histological findings (chronic gastritis, caseous necrosis, of Helicobacter Pylori infestation…). Etiology retained of GG was also reported.
Results
Thirty nine patients were included in our study. Mean age was 49 years (24 – 96) and sex ratio was 0,25 (M/F=8/31). Past medical facts of Crohn disease were observed in three patients, Biermer anemia in three patients, and obesity in one patient. Two patients had tuberculosis (intestinal in one case and peritoneal in the other). No specific past medical facts were observed in the other 30 patients.
Most of the patients underwent upper endoscopy because of gastric pain (12 cases); other patients were explored by oesogastroduodenal endoscopy because of chronic diarrhea in 6 cases, anemia in 2 cases, and vomiting in 4 cases. Other symptoms were rare. The indications of upper endoscopy of our patients are resumed in Table 1.
Table 1. Indications of upper endoscopy in our cohort of patients| Symptoms | n | % |
| Gastric pain | 12 | 30 |
| Chronic diarrhea | 6 | 15 |
| Vomiting | 4 | 10 |
| Iron deficiency anemia | 2 | 5 |
| Other indications of upper endoscopy | 15 | 40 |
| Polyadenopathy | ||
| Systematic research of upper localization of a disease | ||
| Sleeve gastrectomy | ||
| Splenomegaly |
Upper endoscopy was normal in 8 cases. In these patients, gastric biopsies were performed systematically because of past medical facts of Crohn disease, obesity (in order to research H. Pylori before Sleeve gastrectomy), or anemia.
Otherwise, upper endoscopy showed antral gastropathy in 20 cases (erythematous in 6 cases, nodular in 8 cases and ulcerated in 6 cases). In four cases, fundic lesions were observed (erythematous or ulcerated gastritis). Other lesions were observed in 7 cases. There was atrophic fundic gastropathy in three cases, antral polyp in one case, fundic and bulbar ulcer in respectively two and one case.
Histology confirmed the presence of gastric granulomatosis in all patients. Granulomas were unique in 14 cases and multiple in 25 cases. Localization of granulomas was the antrum in 27 cases, the fundus in 7 cases, and both of them in the 5 other cases. Associated histological findings were sometimes observed: H. Pylori infestation was found in eight cases. Caseum necrosis was noticed in one case (4%).
An associated chronic gastritis was noted in 25 cases. It was a follicular gastritis in 15 cases, localized in the antrum in 19 cases and in the fundus in 4 cases, and both in 2 cases; with no activity in 6 cases, low in 10 cases and moderate in 9 cases. An associated atrophy and metaplasia were objectified in respectively 6 and 6 cases. Low grade dysplasia was noted in one case (in the antral polyp).
Finally, an inflammatory infiltrate associated to the gastric granulomatosis was found in 10 cases. It involved neutrophile polynuclear cells in two cases, eosinophile polynuclear cells in two cases, lymphocytes in one case and was polymorph in 5 cases.
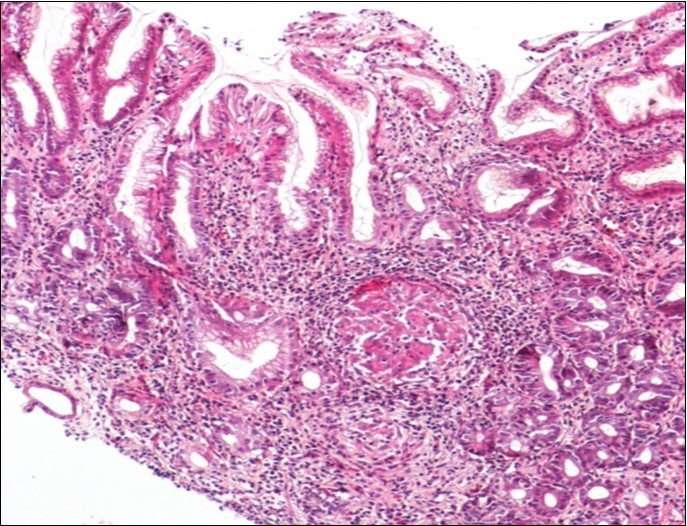
Concerning the etiology, diagnosis was made regarding to the past medical facts, the clinical symptoms, the endoscopic findings and the histological associated lesions. The main etiology was represented by Crohn’s disease in ten cases, followed by gastric tuberculosis in 6 cases. H Pylori was the retained cause of gastric granulomatosis in 5 cases, regarding to the absence of other etiologies, and the favorable issue after antibiotic eradication treatment. In 5 other patients, etiology of gastric granulomatosis was also found and the final diagnosis was a sarcoidosis (n=3), foreign body reaction (n=1), and yersiniosis (n=1). In our series, thirteen cases were unclassifiable despite etiological investigations and no cause of gastric granulomatosis was isolated. Histological findings of a case of tuberculosis and sarcoidosis are represented in Figure 1 and Figure 2.
Figure 1.Histological aspect of gastric granulomatosis secondary to tuberculosis : Antral biopsy specimens revealing multiple necrotizing (caseating) granulomas ( HEx100)
Figure 2.Histological aspect of gastric granulomatosis secondary to sarcoidosis : Antral biopsy specimens revealing multiple non-necrotizing (sarcoid-like) granulomas ( HEx200)
In our cohort, no malignant or vascular disease as cause of GG was objectified. Causes of gastric granulomatosis are resumed in Figure 3.
Discussion
Granulomatous inflammation of the gastrointestinal tract is an uncommon entity; an etiopathogenic diagnosis can be reached only by combining the morphological examination with clinical and laboratory investigations.
Clinically it is often an accidental discovery in an asymptomatic patient. Symptoms are often casual, as in our study where the gastric pain was the main symptom. Specific symptoms can be sometimes observed, mainly due to associated disease 3.
There seem to be no difference clinically or histologically according to age or gender 4.
Endoscopically, no specific aspect is to mention. GG can appear as congestive, nodular, ulcerated gastritis. Rarely, a submucosal tumor mimicking stromal tumor can be observed 5. The morphological aspect of this focal reaction inflammatory infiltrate is composed of various inflammatory cells with or without central necrosis. Granulomas can be multiple or isolated. Their dimensions are variable, is very large or small, with occasional microgranulomas formation 3. The cells can be mononuclear, epithelioid, phagocytic and lymphoid 6. But the number, morphology and location of the granulomas do not correlate with the final clinico-pathological diagnosis.
Endoscopically, the macroscopic appearance is relatively specific 7. Erosions and gastric ulcerations, pseudo-tumor has been described in numerous granulomatous gastritis. Distribution of lesions is relatively uniform: the lesions are predominant in the distal portion of the stomach (antrum and pylorus) such as we have observed in our cohort. Gastric lesions of Crohn's disease and idiopathic granulomatous gastritis may interest occasionally the fundus and gastric body 8.
More recently, new techniques for the diagnosis have been reported, such as endoscopic fine needle aspiration 9 or magnifying narrow band imaging endoscopy 10.
Etiological assessment of GG can be challenging 11 since it could be due to any of a long list of non-infectious and infectious disorders including Crohn’s disease, sarcoidosis, underlying malignancy (especially gastric lymphoma), vasculitis, foreign bodies, tuberculosis, histoplasmosis, and syphilis among others 12. But the two main causes in Africa are the tuberculosis (due to endemia) and Crohn disease. Our study confirmed this findings showing respectively 10 and 6 cases of Crohn’s disease and tuberculosis. There are problems in distinguishing tuberculosis from Crohn disease. But it is important to rule out tuberculosis as there is a close resemblance between the clinical features of the two diseases and as the treatment of Crohn disease can strongly worsen tuberculosis and be fatal to the patient 13. There have been some reports in the literature pointing to a potential link between H. pylori infection and GG 14, 15, 16. The diagnosis was retained in front of the complete resolution of symptoms, endoscopic aspects, and histological lesions after treatment. According to studies, Helicobacter pylori infection should be considered first when dealing with these incidental histological findings in a western population 17. H Pylori was retained as the cause of GG in five cases in our series. The diagnosis was retained after exluding other causes of GG and in front of resolution of histological lesions after H pylori treatment.
More rare anecdotic causes are represented by foreign bodies, for example cyanoacrylate for vascular embolization 18, aspergillosis 19 or onychophagia 20.
Conclusion
GG remains a rare histological entity which affects preferentially young females. Diagnosis is based on clinical symptoms, endoscopic findings, and histological examination. Concerning etiology, although many cases remain unclassified, in most cases of GG, a diagnosis of Crohn's disease or tuberculosis could be established in our cohort (41% for both of them). If these cases are excluded, an association between H. pylori and granulomatous gastritis cannot be ruled out. The other causes such as sarcoidosis, malignant or vascular diseases are extremely rare.
References
- 1.EctorsNL DixonMF.GeboesKJ, RutgeertsPJ, DesmetVJ, VantrappenGR. Granulomatous gastritis: a morphological and diagnostic approach.Histopathology.1993Jul;23(1):. 55-61.
- 2.Shapiro J L, Goldblum J R.PetrasRE.(1996,Apr) A clinicopathologic study of 42 patients with granulomatous gastritis. Is there really an “idiopathic” granulomatous gastritis?. , Am J Surg Pathol 20(4), 462-70.
- 3.Rotterdam H, Korelitz B I.Sommers SC.(1977,Jun) Microgranulomas in grossly normal rectal mucosa in Crohn's disease. , Am. J. CUn. Pathol ; 67(6), 550-4.
- 4.Tanabe K NiitsuH, Suzuki T TokumotoN, Tanaka A, ArihiroK.OhdanH.(2012,May) Idiopathic granulomatous gastritis resembling a gastrointestinal stromal tumor. Case Rep Gastroenterol;. 6(2), 502-9.
- 5.Renault M, Goodier A, Hood B SubramonyC, Bishop P.Nowicki M.(2010,Apr) Age-related differences in granulomatous gastritis: a retrospective, clinicopathological analysis. , J Clin Pathol; 63(4), 347-50.
- 6.Adams DO.(1976,July) The granulomatous inflammatory response. A review. , Am J Pathol; 84(1), 164-92.
- 7.RutgeertsP OnetteE, VantrappenG GeboesK, BroeckaertL.TalloenL.(1980,Nov) Crohn's disease of the stomach and duodenum: A clinical study with emphasis on the value of endoscopy and endoscopic biopsies. , Endoscopy; 12(6), 288-94.
- 8.Abbas Z, Khan R, Abid S, Hamid S, Shah H.Jafri W.(2004,Jan) Is Crohn's disease in Pakistan less severe than in the West? Trop Doct;. 34(1), 39-41.
- 9.ImbeK IrisawaA, Shibukawa G, Abe Y, Saito A.Hoshi K,YamabeA, and IgarashR.(2014,Dec) Idiopathic granulomatous gastritis diagnosed with endoscopic ultrasound-guided fine-needle aspiration: report of a case. Endosc Int Open;2(4):E259-61.
- 10.Kawasaki K, Oshiro Y KuraharaK, Nakamura S OhtsuK.FuchigamiTand MatsumotoT.(2017,May) Gastrointestinal idiopathic granulomatous gastritis observed by magnifying narrow-band imaging endoscopy. , J Gastroenterol Hepatol; 32(5), 947.
- 11.Mumtaz K KamaniL, Azad N S.Jafri W.(2008,Sep) Granulomatous gastritis: a diagnostic dilemma? Singapore MedJ;49(9):e222-4.
- 12.Lee A MaengL, Choi K, Kang C S.Kim KM.(2004,July)Granulomatous gastritis: a clinicopathologic analysis of 18 biopsy cases. , Am J Surg Pathol; 28(7), 941-5.
- 13.Wright C L.Riddell RH.(1998,Apr) Histology of the stomach and duodenum in Crohn's disease. , Am J Surg Pathol; 22(4), 383-90.
- 14.Delgado J S, LandaE.Ben-DorD.(2013,Jun) Granulomatous gastritis and Helicobacter pylori infection. , Isr Med Assoc J; 15(6), 317-8.
- 15.Miyamoto M, Yoshihara M HarumaK, SumiokaM KamadaT, Ito M, Masuda H et al. (2003) Isolated granulomatous gastritis successfully treated by Helicobacter pylori eradication: a possible association between granulomatous gastritis and Helicobacter pylori. , J Gastroenterol; 38(4), 371-5.
- 16.TaşA KaramanG, ÇelikH. (2013) An unusual cause of granulomatous gastritis in an elderly patient: Helicobacter pylori. , Turk J Gastroenterol; 24(4), 368-9.
- 17.LeeSY.(2012,Feb) Future candidates for indications of Helicobacter pylori eradication: do the indications need to be revised?. , J Gastroenterol Hepatol; 27(2), 200-11.
- 18.GunerG KurtulanO.KavT, SokmensuerC, GedikogluG, AkyolA.Cyanoacrylate Associated Foreign Body Granulomatous Gastritis: A Report of Three Cases.Case Rep Pathol.2017;2017:. 2753487.
Cited by (7)
This article has been cited by 7 scholarly works according to:
Citing Articles:
Polish Journal of Pathology (2023) OpenAlex
(2022) Crossref
K. Vaiphei - Interpretation of Endoscopic Biopsy - Gastritis, Gastropathies and Beyond (2021) Semantic Scholar
Springer eBooks (2021) OpenAlex
Endoscopy International Open (2014) OpenAlex
Journal of Digestive Endoscopy (2013) OpenAlex
InTech eBooks (2012) OpenAlex

