Central Retinal Vein Occlusion in Hepatocellular Carcinoma
Abstract
A 66 year old Chinese male with a medical history of hypertension, diabetes mellitus and hepatitis B carrier
was diagnosed with hepatocellular carcinoma in 2009. He underwent treatment with selective internal radiation spheres and sorafenib, and multiple cycles of chemotherapeutic agents such as bevacizumab, erlotinib, OXAFI ( intravenous oxaliplatin and doxorubicin given on days 1, 8 and 15 in a 28-day cycle, a daily continuous infusion of fluorouracil and subcutaneous interferon alfa-2b 5 million units administered thrice weekly), thalidomide, capecitabine, and rapamycin over the course of four years. Along the course of treatment, he developed pulmonary embolism and was initially started on anti-coagulation. Two months later, he developed hemoptysis and the anti-coagulants were stopped.
During his routine ophthalmology visit for diabetic eye evaluation, he complained of blurring of vision of his left eye for the past four to five weeks. He was found to have central retinal vein occlusion (CRVO) of the left eye, associated with macular edema. Visual acuity was 6/15 for the right eye and 6/60 for the left eye. Eyelids, conjunctiva, cornea, anterior chamber, pupils, lens and ocular motility were normal. Humphrey visual field testing showed a superior arcuate and basal defect.
This is the first reported case of CRVO in hepatocellular carcinoma. The etiology of CRVO is multifactorial, withhepatic malignancy, previous major surgery, multiple cycles of chemotherapy and cessation of anticoagulant therapyas possible aetiological factors. His background medical problems of diabetes and hypertension are further contributors.
Author Contributions
Academic Editor: Zheng Jiang, Department of Neuroscience, The Johns Hopkins University School of Medicine. Baltimore, MD, 21205 United States.
Checked for plagiarism: Yes
Review by: Single-blind
Copyright © 2015 Yan Tong Koh, et al.
This is an open-access article distributed under the terms of the Creative Commons Attribution License, which permits unrestricted use, distribution, and reproduction in any medium, provided the original author and source are credited.
Competing interests
The authors have declared that no competing interests exist.
Citation:
Introduction:
Retinal vein occlusion (RVO) is a common vascular disorder of the retina that causes visual loss of varying degrees. Multifactorial in etiology, the exact pathogenesis and mechanism remains unclear. Conditions like glaucoma, hypertension, arteriosclerosis and diabetes mellitus are common associations with RVO. In 1865, Trousseau first described the increased risk of venous thrombosis in cancer patients. 1 Further articles reporting the association between RVO and malignancies have been reported. 2,3,4,5,6,7,8 Other than cancer being a prothrombotic state, this phenomenon can be attributed to most cancer patients needing surgery for their malignancy, exposure to chemotherapy and/or intravenous catheters, or immobilisation during their disease.
Retinal vein occlusions are divided into central, hemicentral and branch RVOs. Central retinal vein occlusion (CRVO) involves all the four retina quadrants. A hemi-central retinal vein occlusion will involve only the superior or inferior half of the retina and a branch retinal vein occlusion will involve one quadrant,. Further subclassification of RVOs as ischemic or non ischemic is critical due to differences in risks for neovascular sequelae and visual outcomes. 9
In this article, we describe the first reported case of CRVO in hepatocellular carcinoma.
Case Report:
A 66 year old Chinese male with a medical history of hypertension ( 23 years), diabetes mellitus ( 20 years) complicated by moderate non- proliferative diabetic retinopathy and hepatitis B carrier was found to have an incidental hepatic hyperechoic mass on ultrasound evaluation in 2009. Further evaluation showed metastatic hepatocellular carcinoma, with metastases present in the lungs, lymph nodes and sixth cervical (C6) vertebrae. He underwent treatment with selective internal radiation (SIR) spheres and sorafenib and multiple cycles of chemotherapeutic agents such as bevacizumab, erlotinib, OXAFI ( intravenous oxaliplatin and doxorubicin given on days 1, 8 and 15 in a 28-day cycle, a daily continuous infusion of fluorouracil and subcutaneous interferon alfa-2b 5 million units administered thrice weekly), thalidomide, capecitabine, and rapamycin over the course of four years. He underwent C6 laminectomy and post operative radiation to the cervical spine. Post operatively, he regained good functional recovery and was independent in his activities of daily living. In March 2012, he was started on a second course of SIR spheres and underwent liver biopsy to evaluate suitability for the GC 33 trial. The GC 33 trial is a randomized, placebo-controlled, multicenter study that evaluates the efficacy and safety of RO5137382 (GC33) in previously treated patients with unresectable advanced or metastatic hepatocellular carcinoma. Histology showed necrotic tumour cells arranged in a trabecular pattern, with three cores of liver tissue featuring a proliferation of polygonal cells with pleomorphic nuclei. Dense microspheres seen within all cores, and the tumour cells immunoreactive with glypican-3.
In June 2012, he was admitted for shortness of breath secondary to pulmonary embolism. Low molecular weight heparin was started and he was discharged well. However in August 2012, he presented with hemoptysis. His partial prothrombin time (PTT) was slightly elevated. He otherwise had a normal international normalized ratio (INR). Enoxaparin was stopped and he was discharged without anti-coagulants in view of his bleeding risk. Despite this, he presented again with hemoptysis on September 2012, likely secondary to lower respiratory tract infection and progression of pulmonary metastasis. He was discharged well.
In September 2012, during his routine ophthalmology visit for diabetic eye evaluation, he complained of blurring of vision (BOV) of his left eye for the past four to five weeks. During the last visit a year ago, he had stable moderate NPDR and a glycated haemoglobin of 7.3. There were no documented blood pressure measurements prior. His last optical coherence tomography (OCT) done in September 2011 were within normal limits. His baseline visual acuity (VA) was 6/12 bilaterally, with normal intraocular pressure (IOP).
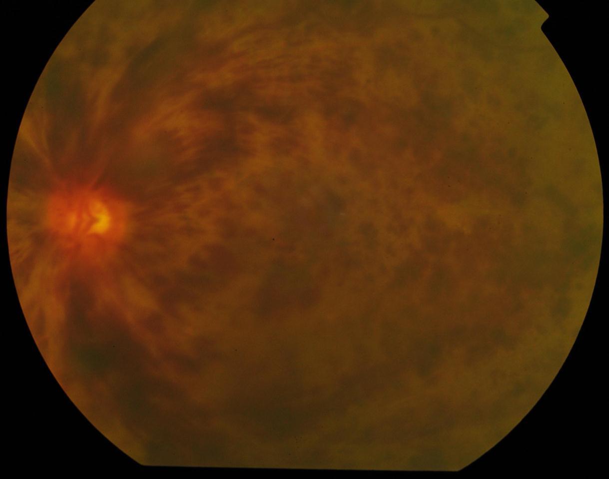
On assessment, he was noted to have central retinal vein thrombosis (CRVO) of the left eye ,associated with macular edema( Figure 1). Further questioning did not reveal any history of thromboembolic events or thrombophilia. His glycated haemoglobin was 7.6, and his blood pressure was 136/78. Visual acuity was 6/15 for the right eye and 6/60 for the left eye. Eyelids, conjunctiva, cornea, anterior chamber, pupils, lens and ocular range of motion were assessed to be normal. Humphrey visual field testing showed superior arcuate and basal defect. Diabetic control was further optimized and the patient was offered injections of either ranibizumab (LucentisTM) or bevacizumab (AvastinTM). Though the acute onset of CRVO could be attributed to the recent cessation of anti-coagulant use, Enoxaparin was not restarted in view of the increased bleeding risk in this patient. The patient was keen for intravitreal Avastin 1.25mg in 0.05ml, which was administered during the clinic visit. He was then planned for subsequent follow-up and advised to continue with home blood pressure monitoring.
Figure 1.The fundal photograph above shows central retinal vein occlusion (CRVO) of the left eye, associated with macula edema.
However, before his follow-up at the eye clinic, the patient was admitted for pneumonia and subsequently passed away during that admission. There was a self-reported improvement in his vision during the admission as discussed over the telephone, but as no formal ophthalmic evaluation was made, we do not have retinal photographs post treatment.
Discussion:
Clinically significant hemostatic abnormalities, such as thrombosis and hemorrhage, may affect as many as 15% of cancer patients. 10 While the exact incidence is unknown, articles have reported the association between RVO and malignancies. 2,8 In a study of 206 cancer patients by Otten et al, 7.3% had proven venous thromboembolism during or within 3 months after chemotherapy. Incidence was specifically high in colorectal cancer patients treated with the combination of fluorouracil (FU) and leucovorin. 8 Thrombosis is a possible adverse effect of oxaliplatin, capecitabine, and bevacizumab, 11,12,13,14 which were therapeutic agents used in this patient. Several mechanisms have been proposed for the hypercoagulable state of cancer patients treated with chemotherapy, as alterations in coagulation factors, anticoagulant proteins, and endothelial cells have been shown after the administration of various chemotherapy agents. 15,16,17,18,19
Ocular complications of hepatocellular carcinoma are rare, but have been reported in literature, with case reports on orbital metastasis as well as lid retraction association with hepatocellular carcinoma. 20,21,22 To the best of our knowledge this is the first reported case of RVO in hepatocellular carcinoma. The exact mechanism of hypercoagulability in HCC is unknown. However, HCC is associated with elevated serum homocysteine levels, which is a predisposing factor of thrombosis. 23 However, as the patient had known vascular risk factors and was of the appropriate age and profile, a prothrombotic screen was not performed. Hence we would not be able to comment on the pro thombotic aetiology. The proximity of cessation of anti-coagulation therapy to the initial development of symptoms also lends itself to the probability of it being a precipitant. The etiology of the RVO in this case is postulated to be associated with the hepatic malignancy, previous major surgery, multiple cycles of chemotherapy and cessation of anti-coagulant therapy.
The premorbid vascular risk factors of diabetes mellitus and hypertension in this patient are known predisposing factors to CRVO, with hypertension being the most common risk factor. 24 Although his glycated haemoglobin showed good control, the long duration of his diabetes still predisposes him to vascular complications. He had no baseline home blood pressure measurements and therefore we are unable to comment on the control of his hypertension although the single reading obtained in the Ophthalmology Clinic was normal. Further, there is a known association between metabolic syndrome and chronic hepatitis B virus (HBV) infection.25 In this patient, HBV could be a predisposing factor for metabolic syndrome, further increasing the risk for CRVO. There were no documented measurements of the height, weight or body mass index of the patient, and we are therefore unable to draw conclusions on this point.
Conclusion
In conclusion, RVO is potentially associated with of the use of chemotherapy and therefore clinicians should actively look beyond the common causes of venous thromboembolism.
References
- 1.Trousseau A (1865), Phlegmasia alba dolens. Balliere J.Clinique Medicale de l’Hotel-Dieu de Paris, 2nd Ed. JB Baillière & Fils , Paris .
- 2.Tseng M Y, Chen Y C, Lin Y Y, Chu S J, Tsai S H. (2010) Simultaneous bilateral central retinal vein occlusion as the initial presentation of acute myeloid leukemia. , Am J Med Sci 339, 387-389.
- 3.Ronchetto F. (1994) Occlusion of a branch of the central retinal vein as a manifestation of hypercoagulability in a patient with lung cancer. A possible paraneoplastic event. Recenti Prog Med. 85, 108-112.
- 4.Tonderska M, Ciszewska J, Dróbecka-Brydak E. (2005) Central retinal vein occlusion in the tumor of colon and kidney--difficulties in diagnosis. , Klin Oczna 107, 700-702.
- 5.Aggio F B, Cariello A J, Almeida M S, Rodrigues C A, De Moraes NS et al. (2004) Bilateral central retinal vein occlusion associated with multiple myeloma. , Ophthalmologica 218, 283-287.
- 6.Gilbar P, Sorour N. (2012) Retinal vein thrombosis in a patient with metastatic colon cancer receiving XELOX chemotherapy combined with bevacizumab pre-hepatic resection. , J Oncol Pharm Pract 18, 152-154.
- 7.Fani S, Amit S, Avraham L, I A Ehud, A M Yoseph. (2001) Bilateral Central Retinal Vein Occlusion in a Patient With Occult Colon Cancer. Arch Ophthalmol. 119, 1552-1553.
- 8.Otten H M, Mathijssen J, Ten Cate H, Soesan M, Inghels M et al. (2004) Symptomatic Venous Thromboembolism in Cancer Patients Treated With Chemotherapy: An Underestimated Phenomenon. , Arch Intern Med 164, 190-194.
- 9.Hayreh S S, Zimmerman M B, Podhajsky P. (1994) Incidence of various types of retinal vein occlusion and their recurrence and demographic characteristics. , Am J Ophthalmol 117, 429-441.
- 10.Goad K E, Grainick H R. (1996) Coagulation disorders in cancer. , Hematol Oncol Clin North Am 10, 457-484.
- 11.Kabbinavar F, Hurwitz H I, Fehrenbacher L. (2003) Phase II, randomized trial comparing bevacizumab plus fluorouracil (FU)/Leucovorin (LV) with FU/LV alone in patients with metastatic colorectal cancer. , J Clin Oncol 21, 60-65.
- 12.McGavin J K, Goa KL Capecitabine. (2001) A review of its use in the treatment of advanced or metastatic colorectal cancer. , Drugs 61, 2309-2326.
- 13.Scappaticci F A, Skillings J R, Holden S N. (2007) Arterial thromboembolic events in patients with metastatic carcinoma treated with chemotherapy and bevacizumab. , J Natl Cancer Inst 99, 1232-1239.
- 14.Nalluri S R, Chu D, Keresztes R, Zhu X, Wu S. (2008) Risk of venous thromboembolism with the angiogenesis inhibitor bevacizumab in cancer patients. , JAMA 300, 2277-2285.
- 15.Zurborn K H, Gram J, Glander K. (1991) Influence of cytostatic treatment on the coagulation system and fibrinolysis in patients with non–Hodgkin’s lymphomas and acute leukemias. , Eur J Haematol 47, 55-59.
- 16.Rogers 2nd JS, Murgo A J, Fontana J A, Raich P C. (1988) Chemotherapy for breast cancer decreases plasma protein C and protein S. , J Clin Oncol 6, 276-281.
- 17.Feffer S E, Carmosino L S, Fox R L. (1989) Acquired protein C deficiency in patients with breast cancer receiving cyclophosphamide, methotrexate, and 5-fluorouracil. , Cancer 63, 1303-1307.
- 18.Rella C, Coviello M, Giotta F. (1996) A prothrombotic state in breast cancer patients treated with adjuvant chemotherapy. , Breast Cancer Res Treat 40, 151-159.
- 19.Lazo J S. (1986) Endothelial injury caused by antineoplastic agents. , Biochem Pharmacol: 35, 1919-1923.
- 20.Meadows A, Raynor M. (2001) Lid retraction in primary hepatocellular carcinoma: Letter to the Editor. , Br J Ophthalmol 85, 754.
- 21.Ramon L F, Raj K M, Robert G S, Miguel G R. (1998) Hepatocellular Carcinoma Metastatic to the Orbit. Arch Ophthalmol. 116, 942-945.
- 22.In T K, Seung C N, Bo Y J. (2000) Hepatocellular carcinoma metastatic to the orbit. , Korean J Ophthalmol 14, 97-102.
- 23.Samonakis D N, Koutroubakis I E, Sfiridaki A. (2004) Hypercoagulable states in patients with hepatocellular carcinoma. , Dig Dis Sci 49, 854-858.
Cited by (5)
This article has been cited by 5 scholarly works according to:
Citing Articles:
Journal of Liver Cancer (2025) Crossref
S. Sanjay, N. Yadav, A. Kawali, Aditi Gupta, P. Mahendradas - Medical hypothesis, discovery & innovation in optometry (2023) Semantic Scholar
S. Sanjay, A. Kawali, Nikhil Gopalakrishnan, R. Shetty, P. Mahendradas - Medical hypothesis, discovery & innovation in optometry (2022) Semantic Scholar
Medical Hypothesis Discovery & Innovation in Optometry (2022) OpenAlex
Journal of Ophthalmic Science (2015) OpenAlex
