Journal of Digestive Disorders And Diagnosis

Journal of Digestive Disorders And Diagnosis

Journal of Digestive Disorders and Diagnosis

Current Issue Volume No: 1 Issue No: 1

Case Report Open Access Available online freely Peer Reviewed Citation

Adenosquamous Cell Carcinoma of the Stomach 18F-FDG PET/CT Diagnosis and Review of Literature

Article Type: Case Report

1Department of radiology

2Institute medical champel

3Department Neurosciences UniversityGeneva Switzerland

Abstract

Adenosquamous carcinoma of the stomach (ASCS) is extremely rare with less than one hundred cases published in the world literature. It is defined by combined adenocarcima and squamous cells carcinoma of the stomach. ASCS is clinically aggressive and has a poor prognosis, even when discovered at an early stage. This intriguing entity is characterized by non specific symptoms or radiological signs. Integrate 18F-fluorodeoxyglucose positron emission tomography/computed tomography 18F FDG.PET/CT is useful morphologic and functional modalities for evaluating primary tumor, local extend and invasion beyond gastric wall or distant metastatic and eventually for management. Diagnosis of ASCS requires immunohistochemical confirmation. We report a 77-year-old man who was admitted to hospital because of epigastric pain, vomiting and melena since more than a month. Gastroscopy with biopsies had initially suggested gastric squamous cell carcinoma .Thoracic and abdominal computed tomography scan (CT) showed a huge mass in the gastric body, largely necrotic, infiltrating the adjacent structures without metastases. Partial gastrectomy with resection of the proximal 2/3 of the stomach, the spleen, the body and tail of pancreas and the left transverse colon was performed. Immunohistochemical analysis demonstrated ASCS with mixed adenocarcinomatous and squamous cells carcinoma with invasion of gastric lymph nodes. Unfortunately, two months after surgery, a CT of the abdomen revealed diffuse metastasis and the patient died three months later.

In light of this case, we discuss the pathogenesis, staging and monitoring of this rare entity by combined 18F-FDG PET/CT with review of the literature.

Author Contributions
Received 29 Sep 2016; Accepted 18 Oct 2016; Published 01 Nov 2016;

Academic Editor: Divey Manocha, Upstate Medical University

Checked for plagiarism: Yes

Review by: Single-blind

Copyright ©  2016 Darouichi M, et al

License
Creative Commons License     This is an open-access article distributed under the terms of the Creative Commons Attribution License, which permits unrestricted use, distribution, and reproduction in any medium, provided the original author and source are credited.

Competing interests

The authors have declared that no competing interests exist.

Citation:

Darouichi M, Jovanovic S, Constanthin P (2016) Adenosquamous Cell Carcinoma of the Stomach 18F-FDG PET/CT Diagnosis and Review of Literature . Journal of Digestive Disorders And Diagnosis - 1(1):20-27. https://doi.org/10.14302/issn.2574-4526.jddd-16-1311

Download as RIS, BibTeX, Text (Include abstract )

DOI 10.14302/issn.2574-4526.jddd-16-1311

Introduction

Adenosquamous carcinoma (ASCS) is an exceedingly rare neoplasm of the stomach. This tumor consists in varying proportions of adenocarcinoma and squamous cell carcinomas. The incidence of this entity varies between 0, 04 and 0, 07% of gastric cancer and less one hundred cases are described in the literature. We present one case of ASCS in a 77 year-old man. In light of this observation we discuss than several hypothesis of pathogenesis and the fundamental role of combined fluorine-18 fluorodeoxyglucose imaging PET and computed tomography (18F-FDG.PET/CT) in staging and monitoring this unusal tumor.

Case Report

A 77-year-old man was admitted to hospital because of epigastric pain, vomiting and melena since more than a month. The patient's past medical history included hypertension, biological aortic valve replacement, right parotidectomy for cystadenolymphoma, pulmonary embolism and surgery for inguinal hernia. Physical examination demonstrated abdominal distension, painless on palpation but no mass palpable and nor organomegaly. Routine laboratory tests revealed a normocytic, normochromic anemia (hemoglobin 107 g/l) and mild thrombocytopenia as well (platelets 141 G/l). All other laboratory exams were normal.

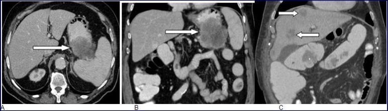
Abdominal CT scan with intravenous contrast material enhancement showed a huge mass of the gastric body, largely necrotic, infiltrating the pancreatic tail, the spleen and the left transverse colon. CT scan did not reveal any other lesion than the except gastric tumor (Figure 1. A, B).

Figure 1.A and B, Abdominal CT scan with intravenous contrast enhancement showed a huge mass of the gastric body, largely necrotic, infiltrating the pancreatic tail, the spleen and the left transverse colon. CT scan did not reveal any other lesion except the gastric tumor. C: Multiples liver metastases two months after surgical operation.
 A and B, Abdominal CT scan with intravenous contrast enhancement showed a huge mass of the gastric body, largely necrotic, infiltrating the pancreatic tail, the spleen and the left transverse colon. CT scan did not reveal any other lesion except the gastric tumor. C: Multiples liver metastases two months after surgical operation.

Gastroscopy revealed a large (7x 8 cm) gastric tumor, starting from the cardia to less than 1 cm above the hiatus, located along the lesser curvature of the stomach, with ulceration and easily bleeding. Biopsies were performed and the histological findings concluded a moderately differentiated squamous cell carcinoma, keratinizing of undetermined origin.

18F-FDG PET-CT with injection of intravenous iodinated contrast demonstrated an intense and diffuse hyper metabolism at the primary tumor of the stomach. No morphological or metabolic argument features of secondary manifestation of this tumor were observed in the whole-body (Figure 2). Partial gastrectomy with resection of the proximal 2/3 of the stomach, the spleen, the body and tail of pancreas and the left transverse colon was performed.

Figure 2.18F-FDG PET-CT with injection of intravenous iodinated contrast demonstrated an intense and diffuse hyper metabolism at the primary tumor of the stomach. No morphological or metabolic argument features of secondary manifestation of this tumor were observed in the whole-body.
 18F-FDG PET-CT with injection of intravenous iodinated contrast demonstrated an intense and diffuse hyper metabolism at the primary tumor of the stomach. No morphological or metabolic argument features of secondary manifestation of this tumor were observed in the whole-body.

A macroscopic exam revealed a large (12 cm) gastric ulcerated tumor, infiltrating the entire gastric wall, the pancreas, the lesser omenta, the spleen parenchyma and the colonic wall (Figure 3: A,B).

Figure 3.A-Macroscopic aspect: “En bloc” resection of stomach, spleen and omentum, with a part of pancreas and colon (not shown on this photograph). The stomach has been opened to show the tumor. B-Macroscopic aspect: Large tumor with macroscopic infiltration of stomach wall, omentum, pancreas and spleen.
 A-Macroscopic aspect: “En bloc” resection of stomach, spleen and omentum, with a part of pancreas and colon (not shown on this photograph). The stomach has been opened to show the tumor. B-Macroscopic aspect: Large tumor with macroscopic infiltration of stomach wall, omentum, pancreas and spleen.

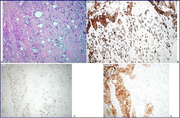
Microscopically, the tumor proliferation consisted mainly of islands and nests with a squamous differentiation, composed of large cells with slightly abundant eosinophilic cytoplasm and enlarged pleomorphic nuclei, with irregular contours, coarse chromatin and prominent nucleolus. There was presence of some mitotic figures, dyskeratotic cells and foci of keratinization. Focally, there was formation of small glandular structures with some isolated cells with vacuolated cytoplasm and showing mucus secretion. Immunohistochemical analysis showed a weak nuclear positivity for P63 in the squamous portion of the lesion with obvious negativity of adenocarcinomatous cells. Cytokeratin 5/6 also showed a clear membrane and cytoplasm positivity in the squamous component, the adenocarcinoma component remaining negative. Cytokeratin 7 was positive in both components and cytokeratin 20 showed few positive cells (Figure 4: A, B, C, D). Among 32 regional lymph nodes examined, there were four lymph nodes with metastasis. The TNM classification (according to the seventh edition UICC 2009) was therefore pT4b pN2 (4/32) V1 L1 Pn1.

Figure 4.A-95% of tumor is a poorly differentiated squamous carcinoma with rare foci of keratinisation, and <5% of tumor is a poorly differentiated adenocarcinoma, with some isolated cells. B-Both components, squamous carcinoma and adenocarcinoma, are Cytokeratine 7 positive. C- Squamous component shows a nuclear positivity for P63, with negativity of the adenocarcinoma. D-Cytokeratine 5, 6 is positive in the squamous component, but not in the adenocarcinomatous component.
 A-95% of tumor is a poorly differentiated squamous carcinoma with rare foci of keratinisation, and  <5% of tumor is a poorly differentiated adenocarcinoma, with some isolated cells. B-Both components, squamous carcinoma and adenocarcinoma, are Cytokeratine 7 positive. C- Squamous component shows a nuclear positivity for P63, with negativity of the adenocarcinoma.  D-Cytokeratine 5, 6 is positive in the squamous component, but not in the adenocarcinomatous component.

Follow-up thoracic-abdominal CT scan obtained two months after surgical operation showed liver and lung metastasis and multiple retroperitoneal lymph nodes (Figure 1, C). Palliative chemotherapy was then indicated. Unfortunately, the patient's condition deteriorated rapidly and he expired three months later.

Discussion

Among carcinomas of the stomach, adenocarcinomas are the most prevalent type, and adenosquamous carcinoma (ADSC) or squamous cells carcinoma are excedentely rare representing respectively 0.07 and 0, 04 % of all gastric carcinomas, according to the WHO criteria of histological classification of stomach tumors 1. These aggressive tumors occur in patients with an average age between 50 and 70 years and with a male-female ratio 4:1 2.

ASCS consists a mix of varying proportion of adenocarcima cells and squamous cells carcinoma, but the later component by definition should exceed 25% of tumor gastric mass 3. This is also entity is most commonly developed at the sites where adenocarcinoma typically arise such as stomach, intestine 4 and uterus 5 but it's reported in the esophagus 6, anus and vagina where squamous cells carcinoma are more frequently encountered.

Many authors now believe that this kind of carcinoma results from two theories, either transforming or collision 7. In the first one, the adenocarcinoma is transforming into squamous cells carcinoma. The collision theory proposes that adenocarcinoma and squamous cell carcinoma arise independently from different sites and ultimately coalesce 8.

Furthermore, Boswell and Helwig 9 considered these following criteria to allow the diagnosis of SSC: 1. Keratinizing cells with typical pearl formation, 2. Mosaic pattern of cells arrangement in which cell borders are sharp, 3. Intercellular bridges and 4. High concentration of sulfhydryl indicates the presence of keratin or prekeratin.

In spite of that, the exact histogenesis of the ASCS is not yet clear; however, multiple hypotheses are postulated 10: 1. Squamous metaplasia of an adenocarcinoma; 2. Cancerization of metaplastic non neoplastic squamous cells; 3. Cancerization of ectopic squamous epithelium; 4. Differentiation of multipotential undifferentiated cancer cells toward both squamous and glandular cells and 5. Collision of concurrent adenocarcinoma and squamous cell carcinoma.

Our present case seems to support these hypotheses theories for 4 reasons: the tumor showed keratinizing cell masses, mosaic patterns, intercellular bridges and adenocarcinoma components.

Preoperative diagnosis of ASCS of the stomach is difficult and is challenging. There are no specific clinical symptoms or defining radiological imaging that would differentiate this neoplasm from the more common gastric tumors.

The symptoms are nonspecific including vague abdominal pain, melena, diarrhea and weight loss 11 and ASCS is usually found at an advanced stage with invasion of the neighboring structures with local lymph nodal and other organs metastasis.

The American Joint Committee on Cancer (AJCC), staging system is widely used for the characterization of disease, burden and prognosis in gastric cancer 12. Thereby, the combined 18F-FDG PET/CT may be useful in the preoperative assessment and therapeutic monitoring of patients with gastric cancers 13. It helps in detection of primary tumor; extension of disease in stomach and surrounding structures, local and distant lymph node and solid organ metastasis and peritoneal dissemination 14.

Over the last two decades, thin section with multiplanar reconstruction CT scan combined to 18F-FDG PET have dramatically increased the impact of management of gastric tumors at different stages. Correlating anatomic information and functional modalities help for diagnosis, pre operative staging of the ASCS and for monitoring treatment effect.

CT scan is an accurate anatomical imaging for determination of preoperative T stage. In spite, 18F-FDG PET cannot be helpful in determinated the exact T stage because prominent uptake averaged across several millimeters, a distance too great to give confidence when assessing barrier invasion on the surface of organs such as present case 15.

Moreover, CT Scan identify positive lymph nodes metastasis based on size, shape, central necrosis and heterogeneity confirms metastatic involvement in stage I and II but cannot distinguish between reactive hyperplasia or metastatic enhancement 15. Whereas, 18F-FDG PET detects lymph node metastases in stage III and IV beyond compartment I and II and also small lymph nodes (less than 1 cm) which are metabolically active of metastatic disease 16.

For metastases, 18F FDG PET may be more accurate than the anatomical imaging modalities in the detection of metabolic distant metastases, and liver metastases smaller than 1 cm missed during the portal venous or arterial phase on CT scan 17. The limitations of 18F FDG PET are not tumor-specific as it is also positive by inflammatory cells or peritoneal metastases 18 and small lung metastases (less than one cm) 18. In a recent study 19, the sensitivity of CT and 18F-FDG PET in the evaluation of pulmonary nodules was 93% and 57%, respectively.

Despite technical advances in gastroenterology and imaging in the early detection of ASCS, the diagnosis is often made after the tumor has already metastasized to the regional and distant lymph nodes, liver or lung, such as in our patient. Accurate preoperative diagnosis of ASCS is made with great difficulties since there are no imaging studies that would differentiate it from squamous cell carcinoma, adenocarcinoma, lymphoma, gastrointestinal stromal tumor (GIST) or more benign stomach neoplasm 20. In any case the diagnosis of ASCS is mainly based on the histological exams and requires immunohistochemical assessment of tumor tissue.

Complete resection of the gastric tumor and adjacent lymph nodes represents the only effective curative treatment 21. The role of radiotherapy and chemotherapy after surgery is controversial but suggested by some authors to reduce the risk of recurrence 22.

Despite the recent advances in diagnosis and therapy, the mortality with ASCS sremains substantial. Patient's outcome after resection of ASCS is generally poor. The typically advanced stages at the time of initial diagnosis explain this outcome. ADSC of the stomach is more aggressive than other histological types of gastric carcinomas 23. The median survival from the time of diagnosis is shorter than for adenocrcinoma and squamous cell carcinoma 24. Moreover, ASCS has a high rate or early metastases despite good differentiation 25.

It is not surprising that survival was not prolonged in our patient who had an ASCS and a rapid systemic metastasis less than three months after.

Conclusion

The ASCS is a rare malignancy, characterized by a particularly aggressive potential and poor prognosis. It is often found at the stage of digestive complications with extensive visceral invasion and metastasis. Early diagnosis of ASCS has important implications for surgical management at presentation and afterward. The combined use of CT and 18F-FDG PET may be useful in the preoperative staging and helpful in the follow up of patients undergoing chemotherapy but the diagnosis remains based on immunohistochemical exams.

References

  1. 1.Jalif A R, López O J, SM Díaz de Battaglini, Bur E G. (1984) Gastric adenoacanthoma. Report of a case and review of the literature. , Acta Gastroenterol Latinoam; 14(1), 79-84.
  1. 2.Blázquez S, Raventós A, Díaz M L, García-Fontgivell J F, Martínez S. (2005) Sirvent JJ: Adenosquamous gastric carcinoma in Caucasian patient. Rev Esp Enferm Dig. 97, 211-212.
  1. 3.Mingazzini P L, Barsotti P, Malchiodialbedi F. (1983) Adenosquamous carcinoma of the stomach: Histological, histochemical and ultrastructural observations. Histopathology. 7, 433-443.
  1. 4.Cagir B, Nagy M W, Topham A, Rakinic J, Fry R D. (1973) Adenosquamous carcinoma of the colon, rectum, and anus: epidemiology, distribution, and survival characteristics. , Am J Clin Pathol,Aug; 60(2), 208-17.
  1. 5.Morrison D L. (1966) Adenoacanthoma of the uterine body. , J Obstet Gynaecol Br Commonw,Aug; 73(4), 605-610.
  1. 6.Francioni F, Tsagkaropoulos S, Telha V, R Barile La, T De Giacomo. (2012) Adenosquamous carcinoma of the esophagogastric junction. Case report. , G Chir,Apr; 33(4), 123-5.
  1. 7.Mori M, Iwashita A, Enjoji M. (1986) Squamous cell carcinoma of the stomach: report of three cases. , Am J Gastroenterol 81, 339-342.
  1. 8.Straus R, Heschel S. (1969) Fortmann DJ: Primary adenosquamous carcinoma of the stomach. A case report and review. Cancer. 24, 985-995.
  1. 9.Boswell J T. (1965) Helwig EB: Squamous cell carcinoma and adenocanthoma of the stomach. , Cancer 18, 181-192.
  1. 10. (1996) Kazuhiro Yoshida et all Early Gastric Cancer of Adenosquamous Carcinoma Type: Report of a Case and Review of Literature. , Jpn J Clin Oncol 26, 252-257.
  1. 11.Manna E D, Seixas A A, de Araújo RP, Ferro M C. (1998) Primary adenosquamous carcinoma of the stomach. , Rev Assoc Med Bras 44, 152-154.
  1. 12. (2010) The American Joint Committee on Cancer: the 7th ed of the AJCC cancer staging manual and the future of TNM. Ann Surg Oncol. 17(6), 1471-4.
  1. 13.Smyth E C, Shah M A. (2011) Role of18F 2-fluoro-2-deoxyglucose positron emission tomography in upper gastrointestinal malignancies. , World J Gastroenterol,Dec14; 17(46), 5059-74.
  1. 14.Mukai K, Ishida Y, Okajima K, Isozaki H, Morimoto T et al. (2006) Usefulness of preoperative FDG-PET for detection of gastric cancer. , 63 Gastric Cancer; 9, 192-196.
  1. 15.Koga H, Sasaki M, Kuwabara Y. (2003) An analysis of the physiological FDG uptake pattern in the stomach. Ann Nucl Med. 17, 733-738.
  1. 16.Yun M, Lim J S, Noh S H, Hyung W J, Cheong J H et al. (2005) Lymph node staging of gastric cancer using (18)F-FDG PET: a comparison study with CT. , J Nucl Med 46, 1582-1588.
  1. 17.Yang Q M, Kawamura T. (2008) PET-CT suitable for predicting lymph node status for gastric cancer?. , Hepatogastroenterology; 55, 782-785.
  1. 18.Lim J S, Kim M J, Yun M J. (2006) Comparison of CT and 18F-FDG pet for detecting peritoneal metastasis on the preoperative evaluation for gastric carcinoma. , Korean J Radiol 7, 249-256.
  1. 19.Jared A.Christensen et al, (2006)Characterization of the Solitary Pulmonary Nodule:. 18F-FDG PET Versus Nodule-Enhancement CT, AJR; 187, 1361-1367.
  1. 20.Tian J, Chen L, Wei B. (2004) The value of vesicant 18F-fluorodeoxyglucose positron emission tomography (18F-FDG PET) in gastric malignancies. , Nuclear Medicine Communications; 25(8), 825-31.
  1. 21.Gouzi J L, Huguier M, Fagniez P L. (1989) Total versus subtotal gastrectomy for adenocarcinoma of the gastric antrum: a French prospective controlled study. , Ann Surg; 209, 162-166.
  1. 22.Ott K, Fink U, Becker K. (2003) Prediction of response to preoperative chemotherapy in gastric carcinoma by metabolic imaging: results of a prospective trial. , Journal of Clinical Oncology; 21(24), 4604-10.
  1. 23.Quan J, Zhang R, Liang H, Li F, Liu H. (2013) The clinicopathologic and prognostic analysis of adenosquamous and squamous cell carcinoma of the stomach. , Am Surg,May; 79(5), 206-8.
  1. 24.Toyota N, Minagi S, Takeuchi T.Sadamitsu N.(1996) Adenosquamous carcinoma of the stomach associated with separate early gastric cancer (type IIc). , J Gastroenterol,Feb; 31(1), 105-8.
  1. 25.Aoki Y, Tabuse K, Wada M, Katsumi M, Uda H. (1978) Primary adenosquamous carcinoma of the stomach: experience of 11 cases and its clinical analysis. , Gastroenterol Jpn; 13, 140-145.