Rare cause of gastric varices secondary to an isolated left gastric vein stenosis
Abstract
A 69 year old female with a history of pancreatic mucinous cystadenoma (treated with Whipple procedure) and recently presumed liver cirrhosis presented to the hospital with melanotic stools. The source of the bleeding was initially thought to be secondary to upper gastrointestinal (GI) varices due to portal hypertension from the liver disease. Upper endoscopy found no active bleeding and confirmed grade 2 gastric varices with gastric wall edema. Due to persistent symptoms and inability to locate the exact source, she went to the operating room for possible transjugular intrahepatic portosystemic shunt (TIPS) but was not found to have any porto-systemic gradient. Instead, she was found to have an isolated stenosis of the left gastric vein, which was treated with balloon angioplasty and eventual splenectomy. Upper GI varices usually occur due to portal hypertension from liver disease. Extra hepatic causes are much rarer. We report a case of upper GI bleed from gastric varices secondary to left gastric vein stenosis rather than portal hypertension. The stenosis was due to a rare complication of a Whipple procedure. The case is unique as there are no reported cases of gastric varices secondary to left gastric vein stenosis.
Author Contributions
Academic Editor: Carmen Bernal Bellido, University Hospital Virgen del Rocao
Checked for plagiarism: Yes
Review by: Single-blind
Copyright © 2016 Umair Masood, et al
This is an open-access article distributed under the terms of the Creative Commons Attribution License, which permits unrestricted use, distribution, and reproduction in any medium, provided the original author and source are credited.
Competing interests
The authors have declared that no competing interests exist.
Citation:
Introduction
Upper GI varices are a common complication of portal hypertension 1. While they are usually associated with advanced liver disease, they can have extra hepatic causes. We present a case of a female with upper GI bleeding secondary to gastric varices as a result of an isolated left gastric vein stenosis.
Case
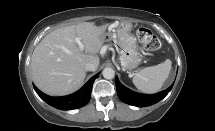
A 69 year old female with a history of pancreatic mucinous cystadenoma (treated with Whipple procedure) and recently presumed liver cirrhosis presented to the hospital with dizziness and melanotic stools. On presentation, she was hypotensive with a blood pressure of 85/50 mmHg and tachycardic with a heart rate of 115 beats per minute. Her physical exam was pertinent for pale skin, dry oral mucosa, and delayed capillary refill. Her complete blood count showed a hemoglobin level of 5.7 g/dL which was a significant drop from her baseline of 10 g/dL. Her liver functions tests and coagulation parameters were within normal limits. Computed tomography (CT) of the abdomen with contrast showed a mildly nodular liver and no signs of bleeding. She was resuscitated with blood transfusions and intravenous fluids. Her GI bleed was treated with octreotide and pantoprazole infusions. Gastroenterology specialists were consulted immediately. Patient was taken for an esophagogastroduodenoscopy (EGD) next morning which failed to find an active bleeding source but showed grade 2 gastric varices with significant gastric wall edema. Despite medical management, patient continued to have persistent symptoms. CT enterography also revealed prominent gastric varices and gastric body wall edema (Figure 1). Tagged
Figure 1.CT enterography showing gastric varices and gastric wall edema (A) .
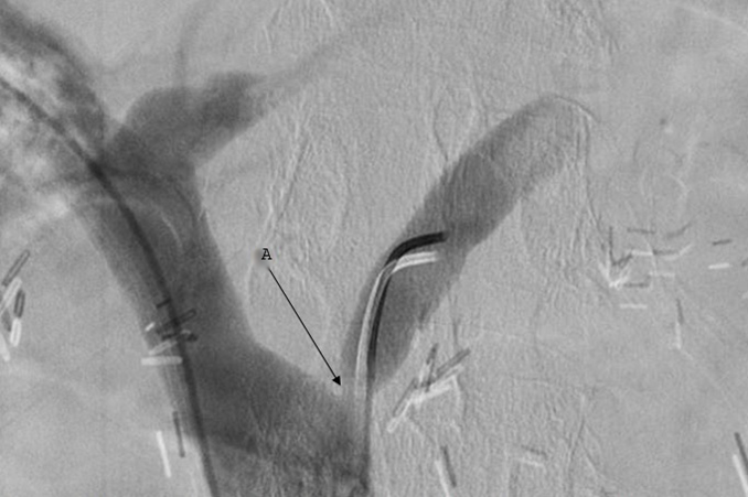
RBC scan showed a possible bleeding source in the stomach. Patient was then taken to the operating room by interventional radiology for possible embolization or TIPS. Surprisingly, there was no porto-systemic pressure gradient. Instead, patient was found to have an isolated left gastric vein stenosis (Figure 2). The stenosis was initially treated with balloon angioplasty (without significant improvement in luminal diameter or pressure gradient) and splenic artery embolization. Due to persistent melena, angioplasty was repeated resulting into 130 % luminal gain (3 to 7 mm) and a 67 % pressure gradient reduction (9 to 3 mm mercury). Despite this, patient continued to bleed and ended up having a splenectomy with eventual resolution of bleeding. Patient was then observed in the hospital for several days with repeat EGD prior to discharge revealing normal gastric mucosa with resolution of gastric varices. Prior to discharge, a thorough work up for liver disease was sent and was found to be negative (Table 1). Patient was followed up in GI clinic in the subsequent week and 2 months later and did not report any more bleeding. It was eventually concluded that patient was misdiagnosed with liver cirrhosis.
Figure 2.Venogram showing left gastric vein stenosis (A) with proximal vessel dilation.
| Test (Ab = Antibody, Ag = Antigen) | Result |
| Anit-nuclear Ab | Negative |
| Liver kidney microsomal Ab | Negative |
| Immunoglobulin G | Negative |
| Anti-Mitochondrial Ab | Negative |
| Anti- Smooth Ab | Negative |
| Alpha Feto Protein | 1 ng/mL |
| Anti-Tissue transglutaminase | Negative |
| Anti-Gliadin Ab | Negative |
| Ceruloplasmin | 20mg/dL |
| Ferritin | 15 ng/mL |
| Iron | 97 ug/dL |
| Alpha-1-Antitrypsin | 110 mg/dL |
| HIV Ag Ab Combo Screen | Negative |
| Vitamin B12 | 403 pg/mL |
| Anti-Neutrophilic cytoplasmic Ab | Negative |
Discussion
When a patient with liver disease presents with upper GI bleeding, the culprit is usually considered to be bleeding varices. Even though upper GI varices are most commonly associated with liver cirrhosis, they can sometimes occur due to extra hepatic causes 1. The general mechanism of variceal formation is due to the increase in back pressure in the systemic circulation causing dilatation of the proximal blood vessels. In liver cirrhosis, the fibrotic liver causes an increase in pressure in the portal circulation (portal hypertension), which is transmitted into the systemic circulation 2, 3. Gastric varices arising outside the porto-hepatic system are caused by any hindrance in blood vessels from the upper GI tract. Some of the etiologies include portal or splenic vein thrombosis, splanchnic atriovenous fistulas, and Budd Chiari Syndrome 4, 5.
Our patient was presumed to have a diagnosis of liver cirrhosis due to previously diagnosed low grade esophageal and gastric varices (on EGD) and mild nodularity of the liver contours on abdominal imaging. When she presented to the hospital with melanotic stools, it was reasonably assumed that she was having a variceal bleed. As mentioned, patient did not have a porto-systemic pressure gradient which was inconsistent with liver cirrhosis and in turn, portal hypertension as the driving force of the variceal bleeding. Patient was in fact misdiagnosed with liver cirrhosis. Instead, she was found to have a left gastric vein stenosis causing increase in pressure in her gastric venous circulation resulting in the gastric varices and gastric body wall edema. Due to the slow flow of the bleeding, it was not detectable on EGD or angiography but the tagged RBC scan was able to show stomach as the likely source of bleeding. Due to the fragility of the involved blood vessel, balloon angioplasty was chosen as a treatment modality instead of stenting. To further aid the situation, splenic artery was embolized to reduce venous flow to the stenosed blood vessel. Despite these interventions, patient required repeat angioplasty and eventual splenectomy to finally resolve her bleeding. While there are reports of isolated gastric varices due to splenic vein compromise, left gastric vein stenosis is a very rare phenomenon with no reported cases in the literature 6, 7. In our particular patient, it was a complication of the Whipple procedure patient had for a pancreatic cystadenoma a few years prior to presentation. Such vascular complications after Whipple procedure are very rare as well. In fact, only one similar case has been reported in the literature involving stenosis of the splenic and superior mesenteric vein 8.
In conclusion, though, portal hypertension from liver disease is a common cause of upper GI varices, rare causes such as extra hepatic vein stenosis should also be considered in the differential. Clinicians must be aware of the vascular anatomy in understanding such causes as any distal hindrance in venous flow can cause back pressure resulting in proximal variceal formation and subsequent bleeding.
References
- 1.WBC Liao, Hou M C, Chang C J, Lee F Y, Lin H C. (2011) Potential precipitating factors of esophageal variceal bleeding: a case-control study. , AM J Gastroenterol 106-96.
- 2.Berzigotti A, Seijo S, Reverter E, Bosch J.Assessing portal hypertension in liver diseases. Expert Rev Gastroenterol Hepatol 2013; 7. 141.
- 3.Groszmann R J, Wongcharatrawee S. (2004) The hepatic venous pressure gradient: anything worth doing should be done right Hepatology. 39-280.
- 4.Pinzani M, Rosselli M, Zuckermann M. (2011) Liver cirrhosis. Best Pract Res Clin Gastroenterol. 25-281.
- 5.Schouten J N, Garcia- Pagan JC, Valla D C, Janssen H L. (2011) Idiopathic noncirrhotic portal hypertension. Hepatology. 54-1071.
- 6.Chen Boa-Chung.Hon-Haw Wan, Yu Chieh Lin, Yu-Lueng Shih, Wei-Kuo Chang et al. (2013) Isolated gastric variceal bleeding causes by splenic lymphoma-associated splenic vein occlusion.WorldJGastroenterol,19(40):. 6939-6942.
