Taller Haustral Folds in the Proximal Colon: A Potential Factor Contributing to Interval Colorectal Cancer
Abstract
Missed cancers have been reported at higher frequencies in the right colon despite optical colonoscopy screening. The purpose of this study was to determine if there are regional differences in haustral fold height between the ascending, transverse, and descending colon using CT colonography (CTC). 50 supine CTC datasets from 50 asymptomatic, adult patients were analyzed (NCI-CBIIT instance of the National Biomedical Imaging Archive). At least 5 consecutive, pairs of unobscured haustral folds in each colonic segment were necessary to be included in this study. Of an initial 201 patients, 151 were excluded due to suboptimal colonic distension, retained fluid, tortuosity, and diverticulosis. For each dataset, the heights of the non-dependent haustral folds were measured in the ascending, transverse, and descending colon on 2D multiplanar reformations. Differences in mean HFHs were assessed using a hierarchical generalized linear mixed model. A total of 2079 colonic folds were measured: 625 in the ascending colon (including the cecum), 687 in the transverse colon, and 767 in the descending colon. The mean number of folds measured per segment was 6.87 ± 2.11. Mean HFHs were significantly taller in the ascending colon (14.62 ± 5.47 mm) than in the transverse (9.49 ± 3.65mm) or descending (6.53 ± 3.12mm) colon; mean HFHs were also significantly taller in the transverse than the descending colon, (P<0.0001, for all comparisons). In conclusion, taller colonic haustral folds are present in the proximal colon and may contribute to more frequently missed lesions (e.g. polyps) in the right colon by conventional, optical colonoscopy.
Author Contributions
Academic Editor: Ali Coskun, Izmir Training and Research Hospital
Checked for plagiarism: Yes
Review by: Single-blind
Copyright © 2016 Atalie C. Thompson, et al.
This is an open-access article distributed under the terms of the Creative Commons Attribution License, which permits unrestricted use, distribution, and reproduction in any medium, provided the original author and source are credited.
Competing interests
The authors have declared that no competing interests exist.
Citation:
Introduction
Colorectal cancer (CRC) is the second leading cause of cancer death in the United States today, with approximately 150,000 incident cases and 50,000 deaths reported each year 1, 2. The five-year survival rate approaches 90% if the cancer is discovered at an early stage, but is 12% if distant metastases are present 2. Since optical colonoscopy (OC) allows for the early detection and removal of precancerous adenomas, it is widely considered the best modality for colon cancer screening and prevention 3. Several longitudinal studies have shown significant reductions in the incidence of CRC following colonoscopic polypectomy 4, 5, 6, 7. Nevertheless, colon cancer remains the third leading cause of cancer nationwide despite increasing rates of screening 2, 8.
Colonoscopy offers incomplete protection from colon cancer, and interval cancers unfortunately do develop in patients despite their having undergone optical colonoscopy. This may occur for a variety of reasons, including aggressive tumor biology resulting in a newly developed fast growing cancer or incomplete resection of a visualized adenomatous polyp, with recurrence progressing to cancer. Interval cancers may also arise if adenomatous polyps are missed at colonoscopy. Tandem colonoscopy studies have confirmed relatively high adenoma miss rates of 6-27% at OC, with miss rates for small polyps less than 6 mm in size at the upper end of this range 9, 10, 11, 12. For advanced adenomas the miss rate in one study was as high as 11% 9.
Polyps may be missed at colonoscopy for a variety of reasons, including inadequate bowel preparation, insufficient colonic distention, and poor colonoscopy technique including rapid withdrawal of the colonoscope in less than 6 minutes 13, 14. Small or flat polyps may not be recognized by less experienced endoscopists. Performance of colonoscopy by a non-gastroenterologist, such as a primary care physician or surgeon, increases the chance that a potential cancer will be overlooked 15, 16, 17, 18.
Recent evidence suggests that interval cancers are more likely to develop in the right (i.e. cecum and ascending colon) and transverse colon than in the left colon 15, 19, 20, 21, 22, 23, 24. The postulated reasons for this differential distribution are varied. A proportion of colonoscopies are incomplete where the cecum cannot be reached for technical reasons. In addition, less experienced endoscopists may occasionally mistake anatomic landmarks such as the hepatic flexure for the cecum. Incomplete colonoscopies with failure of cecal intubation are more likely when performed by endoscopists with less training, and/or lower procedural volumes 25, and when colonoscopy is performed in office settings 15, 25, 26. A delay between completion of the bowel preparation and colonoscopy, can result in the accumulation of bile and thick mucus in the right colon 27, potentially obscuring polyps, particularly those that are flat. A disproportionate number of interval CRC with microsatellite instability arise in flat serrated lesions 28 that are more common in the proximal colon 29, 30, 31. These adenomas tend to carry aggressive mutations like BRAF V600E 32, 33. Because they are flatter and have ambiguous color and borders, serrated lesions are also harder to identify during optical colonoscopy 9, 34, especially if withdrawal times are rapid 35.
Adequate visualization of the mucosa on the proximal side of haustral folds remains a challenge given current limitations in standard colonoscope technology and endoscopic technique 36, 37. Polyps on the proximal aspect of taller colonic folds may be more difficult to visualize at colonoscopy, and studies have indicated that many polyps missed at colonoscopy are on the proximal aspects of colonic folds 37. We therefore hypothesized that the higher incidence of interval cancers in the proximal compared to the distal colon may stem in part from the existence of taller haustral folds proximally. To our knowledge, this is the first study to investigate whether the anatomic heights of haustral folds may differ between the ascending (including the cecum), transverse, and descending colon using CT virtual colonoscopy and thus potentially help explain regional differences in interval CRC development.
Materials and Methods
The National Biomedical Imaging Archive (NBIA) is a free online national repository of PHI de-identified Digital Imaging and Communications in Medicine (DICOM) images sponsored by the National Cancer Institute Center for Biomedical Informatics and Information Technology. We reviewed 201 supine Computed Tomographic Colonography (CTC) patient datasets selected from the beginning of the NBIA’s Virtual Colonoscopy database (https://imaging.nci.nih.gov/ncia/login.jsf) made publicly available by the (Virtual) CT Colonography clinical trial 38. Because the datasets were completely de-identified, this study was not considered human subjects research by our Institutional Review Board; thus we were granted permission to conduct our investigation.
A more complete description of the protocol has been previously published in the New England Journal of Medicine 39. A total of 1233 asymptomatic adults patients age 40 to 79 from three clinical sites underwent same-day screening CTC followed by OC. Twenty-four hours prior to the procedure, patients underwent standard bowel preparation with 90 ml of oral sodium phosphate (Fleet 1 preparation, Fleet Pharmaceuticals) and 10 mg of bisacodyl. Tagging of solid stool with 500 ml of barium (2.1% by weight; Scan C, Lafayette Pharmaceuticals) and of luminal fluid with 120 ml of diatrizoate meglumine and diatrizoate sodium (Gastrografin, Braco Diagnostics) was performed.
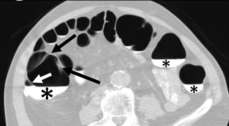
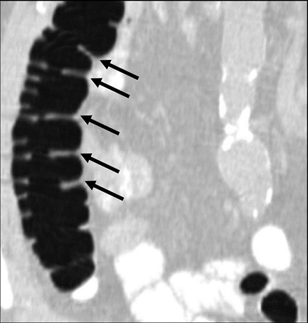
A single reviewer evaluated all data sets using a DICOM image viewer (OsiriX v4.0) for inclusion into this study. Inclusion criteria were: (1) adequate colonic distension and (2) presence of measurable folds. Having a minimum of at least five consecutive measurable haustral fold pairs in a given colonic segment was established as a marker of adequate bowel distention for optimal measurement of folds. Measurable folds were defined as folds that were not obscured or distorted by retained fluid, luminal collapse, tortuosity or diverticulosis. As haustral folds meet at the teniae coli, two of the three folds were each measured with the most dependent fold excluded; the most dependent folds were most often obscured by fluid if present (Figure 1A). Measurements of fold heights were made on 2D multiplanar reformations; the imaging plane demonstrating the folds in cross-section was established for optimal measurement of fold heights (Figure 1B). Due to the high frequency of tortuosity, suboptimal distention relative to other colonic segments, distortion of the folds and diverticulosis relative to other colonic segments, the sigmoid colon was not included in this study.
Figure 1A.Axial CT-Colonography image demonstrating dependent fluid tagging (*) obscuring a dependent haustral fold (white arrow) with a pair of unobscured, non-dependent haustral folds (black arrows). Note: difficulty in visualization of haustral fold pair due to slice selection in the axial plane.
Figure 1B.Coronal reformat demonstrating adequately distended ascending colon with at least five non-dependent haustral folds (black arrows) clearly visualized. (Multiplanar CT Colonography, Haustral Fold Selection, Axial).
fifty patient datasets were included that met the minimum criterion for fold measurement in the ascending (including the cecum), transverse, and descending colonic segments and were of sufficient diagnostic quality. This methodology allowed us to achieve an optimal dataset with complete measurements in all three colonic segments for each of the included patients. The segments could thus be compared directly to each other within a patient, so that each patient served as their own internal control for potential demographic or clinical confounders. Differences in average fold height were assessed by statistical analysis using a hierarchical generalized linear mixed model with log link function, in which colon region served as a fixed factor and the patient served as a random factor. Both 95% Confidence Intervals (CI) and P-values were generated using STATA (Release 9.2; StataCorp LP, College Station, TX).
Results
We measured haustral fold heights (HFHs) of the colon in 50 patients. The mean age of the study patients was 60.5 ± 6.8 years. Thirty-five of the patients were male and 15 were female. A total of 2079 colonic folds were measured: 625 in the ascending colon (including the cecum), 687 in the transverse colon, and 767 in the descending colon. The mean number of folds measured per segment was 6.87 ± 2.11. This minimum number of five fold pairs was within one standard deviation of the mean number of fold pairs measured per segment (6.87 ± 2.11). Figure 2 shows histograms of the distribution of colon fold measurements in each of the three colonic segments. Mean haustral fold heights in the ascending colon (including the cecum) (14.62 ± 5.47 mm) were significantly taller than in the transverse (9.49 ± 3.65 mm, P<0.0001) or descending colon (6.53 ± 3.12 mm, P<0.0001) (Table 1). Folds in the transverse colon were also significantly taller than in the descending colon (P<0.0001). The ascending colon (including the cecum) folds were 7.60mm (95% CI: 7.09-8.11 mm) and 4.61mm (95% CI: 4.12-5.11 mm) taller than the descending or transverse haustral folds, respectively(Table 2).
Figure 2.Distribution of Haustral Fold Heights in the Ascending, Transverse and Descnding Colon. Y-axis shows percentages of height in each colonic segment, respectively.
| Region of Colon | Mean height ± standard deviation in millimeters |
| Ascending (with cecum) | 14.62 ± 5.47 |
| Transverse | 9.49 ± 3.65 |
| Descending | 6.53 ± 3.12 |
| Region of Colon | Difference of mean heights (millimeters) | 95% Confidence Interval | P-value |
| Ascending vs. Transverse | 4.61 | 4.12-5.11 | <0.0001 |
| Ascending vs. Descending | 7.6 | 7.09-8.11 | <0.0001 |
| Transverse vs. Descending | 2.98 | 2.63-3.34 | <0.0001 |
Discussion
Our study demonstrates that the height of haustral folds increases as one moves proximally in the colon. Folds in the ascending colon (including the cecum) were significantly taller than those in the transverse and descending colon (P<0.0001). Transverse colonic folds were likewise taller than those in the descending colon (P<0.0001). Such differences in regional anatomy may potentially impact the sensitivity of optical colonoscopy in detecting polyps and cancers in different parts of the colon. Polyps hidden on the proximal aspects of the taller folds in the ascending (including the cecum) and transverse colon may be harder to detect at optical colonoscopy. This may be one additional factor contributing to the lower protection offered by optical colonoscopy in the right and transverse colon.
Optical colonoscopy has long been considered the gold standard for colorectal cancer screening because of its therapeutic capability for resecting adenomatous polyps identified during mucosal inspection 6, 7. However, colonoscopy offers incomplete protectim on against colon cancer, particularly in the right colon (i.e. cecum and ascending colon). Many factors may explain the higher rates of right-sided interval cancers 15, 17, 19, 20, 21, 22, 23, 24, 40. For example, the endoscopist may not be able to reach the cecum. In large academic gastroenterologist run endoscopy units in the U.S. and Europe, the incomplete colonoscopy rate is around 1.5-3.5% 22, 41, 42. The rate of incomplete colonoscopy is likely to be higher among less experienced endoscopists, in community settings, and at low volume centers. Despite bowel prep, adherent bile in the right colon may impair visualization of flat polypse. In addition there is a higher prevalence of serrated flat lesions with aggressive tumor markers located in the proximal colon 29, 30, 31. Such flat lesions are difficult to identify at colonoscopy 35. The limited view offered behind prominent mucosal folds by OC is a potential reason that traditional colonoscopy misses some polyps 36, 37. An early study published in 1978 by Miller et al. found that endoscopists tended to neglect lesions situated on the proximal side of valves and haustral folds that were subsequently identified by barium enema 36. Pickhardt et al. also found that 71.4% of lesions missed at colonoscopy but found on CTC were located on the proximal aspects of colonic folds 37. Retroflexion of the colonoscope does allow examination of the proximal aspect of colonic folds and in one study, retroflexion of the colonoscope during withdrawal through the right colon improved detection of adenomas in the right colon in 5.8% of patients 43. Unfortunately, retroflexion of standard colonoscopes in the proximal colon is difficult due to the large turn radius of the tip of the colonoscope, and the majority of endoscopists do not practice this technique.
Since colonic folds can obscure the view of polyps, and more interval cancers develop in the right colon despite colonoscopy, we postulated that taller folds might exist in the cecum, ascending and transverse colon where more interval cancers develop. Our study has confirmed this hypothesis. To our knowledge, our study is the first to document higher colonic folds in the ascending colon compared with the transverse and descending colon. We were able to show that colonic haustral folds become increasingly taller as one moves proximally along the colon, with folds of the transverse colon taller than descending colon, and ascending colonic folds taller than transverse colonic folds. This additional height of right colonic folds may further impede thorough visualization of lesions located on the proximal aspect of these taller folds 36, 37, which may be an additional important factor, explaining why colonoscopy offers less protection from interval colon cancer in the right colon. Moreover, we also demonstrated that colonic folds are significantly taller in the transverse than the descending colon. These findings may explain why OC did not offer significant protection against interval CRC in the cecum and ascending colon (PR=0.99, 95% CI 0.50-1.97) or in the hepatic flexure and transverse colon (PR=1.21, 95% CI 0.60-2.42) when studied by Brenner et al. 22. Furthermore, patients who underwent OC in the prior ten years were significantly less likely to develop interval CRC in the splenic flexure and descending colon (PR 0.36, 95% CI 0.16-0.82) when compared to patients without colonoscopy 22. Such findings suggest that OC may be a less sensitive modality in the cecum, ascending and transverse colon, which may be partially explained by the taller folds we have documented in those regions of the colon.
Several studies have suggested that CTC may have comparable sensitivity and specificity to colonoscopy, especially in detecting advanced neoplasms 44, 45. Addition of 3-D “fly-through” interpretation 46 and preparation with both cathartic and tagging agents 47 may further improve the screening capability of CTC. Moreover, unlike colonoscopy, the area behind colonic folds is not a blind spot for CTC. CT Colonography may thus prove advantageous for detecting polyps located on the proximal aspect of colonic folds 37. In one meta-analysis of CTC, only 6 of 16 cancers located proximal to the splenic flexure were missed compared with 10 cancers missed in the rectosigmoid 47. This would suggest that haustral fold heights may contribute to discrepant regional rates of colon cancer; however, future, longer-term research is needed to determine if relative rates of right-sided colon cancers are decreased with CTC screening or other advanced endoscopic techniques that employ 3600 or bidirectional endoscopy.
Our study has several limitations. First, haustral fold morphology can vary depending on luminal distention. Colonic fold thickening has been described with insufficient luminal distention 48, while overdistention can lead to fold effacement. While only patients with well-distended colonic segments were included in this study, the effects of subtle differences in regional bowel distention on fold heights could not be adjusted for. Second, our ability to identify measurable colonic folds was markedly diminished in the sigmoid colon compared to other colonic segments as previously described, leading us to exclude the sigmoid colon from the analysis. Thus, our inference is limited to the descending colon, and does not necessarily generalize to other parts of the left colon. In addition we measured fold heights only in datasets that included at least five consecutive measurable folds in all three colonic segments. It is possible that taller folds may have existed elsewhere in these segments but were not measured because they were isolated and thus did not fit our minimum criterion. We also excluded patient datasets if measurable folds could not be identified in one of the colonic segments. While this inclusion criterion allowed us to achieve a dataset where every patient had complete comparable measurements in the colonic segments, it also limited our patient sample size and led to imbalance on the potential effect modifier of sex. Future studies would need to reproduce these results in larger populations with a balanced proportion of males and females to ensure there is no interaction by gender.
Conclusions
In conclusion, our study indicates that regional differences in haustral fold height exist, with significantly taller folds found in the proximal colon. The potential structural obstruction of view caused by taller haustral folds in the proximal colon, may possibly offer an additional factor explaining the lower protection against interval colon cancer offered by standard optical colonoscopy in the right and transverse colon compared to the left colon. CT Colonography and advanced colonoscopy techniques (e.g. bidirectional or 3600 viewing) offer advantages to evaluate and detect precancerous adenomatous polyps and lesions located behind folds, which may be most valuable in the proximal colon as it may translate into lower rates of right-sided colon cancers. Future trials are needed to compare the protection offered by these techniques relative to traditional OC in the prevention of interval colorectal cancer.
Acknowledgements
The data for this study was provided courtesy of Dr. Richard Choi, Virtual Colonoscopy Center, Walter Reed Army Medical Center (https://wiki.nci.nih.gov/display/CIP/ Virtual+Colonoscopy). Biostatistical analysis was performed by Jarrett Rosenberg, Ph.D. in the Stanford University Hospital, Department of Radiology. Richard Jones updated current affiliation is: Department of Radiology, University of Minnesota Medical School, Minneapolis, MN, United States.
Abbreviations
Colorectal cancer (CRC)
Computed Tomographic Colonography (CTC)
Confidence intervals (CIs)
Haustral fold heights (HFHs)
Optical Colonoscopy (OC)
National Biomedical Imaging Archive (NBIA)
Digital Imaging and Communications in Medicine (DICOM)
References
- 1.Siegel R, Naishadham D, Jemal A. (2012) Cancer statistics,2012.CA:a cancer journal for clinicians.Jan-Feb 62(1):. 10-29.
- 3.Whitlock E P, Lin J S, Liles E, Beil T L, Fu R.(Nov4,2008) Screening for colorectal cancer: a targeted, updated systematic review for the U.S. Preventive Services Task Force. , Ann Intern Med 149(9), 638-658.
- 4.Manser C N, Bachmann L M, Brunner J, Hunold F, Bauerfeind P et al.(Jul2012) Colonoscopy screening markedly reduces the occurrence of colon carcinomas and carcinoma-related death: a closed cohort study. Gastrointestinal endoscopy. 76(1), 110-117.
- 5.Myer P A, Mannalithara A, Singh G.Ladabaum U.(Nov2012) Proximal and distal colorectal cancer resection rates in the United States since widespread screening by colonoscopy. , Gastroenterology 143(5), 1227-1236.
- 6.Winawer S J, Zauber A G, Ho M N.(Dec30,1993) Prevention of colorectal cancer by colonoscopic polypectomy. The National Polyp Study Workgroup. The New England journal of medicine. 329(27), 1977-1981.
- 7.Zauber A G, Winawer S J, O’Brien M J.(Feb23,2012) Colonoscopic polypectomy and long-term prevention of colorectal-cancer deaths. The New England journal of medicine. 366(8), 687-696.
- 8.Steinwachs D, Allen J D, Barlow W E.. (Feb24,2010) NIH Consenses and State-of-the-Science Statements .
- 9.Heresbach D, Barrioz T, Lapalus M G.(Apr2008) Miss rate for colorectal neoplastic polyps: a prospective multicenter study of back-to-back video colonoscopies. , Endoscopy 40(4), 284-290.
- 10.Hixson L J, Fennerty M B, Sampliner R E, Garewal H S.(Mar-Apr1991) Prospective Blinded Trial of the Colonoscopic Miss-Rate of Large Colorectal Polyps. Gastrointestinal endoscopy. 37(2), 125-127.
- 11.Hixson L J, Fennerty M B, Sampliner R E, Mcgee D, Garewal H.(Nov21,1990) Prospective-Study of the Frequency and Size Distribution of Polyps Missed by Colonoscopy. , J Natl Cancer I 82(22), 1769-1772.
- 12.Rex D K, Cutler C S, Lemmel G T.(Jan1997) Colonoscopic miss rates of adenomas determined by back-to-back colonoscopies. , Gastroenterology 112(1), 24-28.
- 13.Barclay R L, Vicari J J, Doughty A S, Johanson J F, Greenlaw R L.(Dec14,2006)Colonoscopic withdrawal times and adenoma detection during screening colonoscopy. The New England journal of medicine. 355(24), 2533-2541.
- 14.Rex D K, Johnson D A, Anderson J C, Schoenfeld P S, Burke C A et al.(Mar2009) American College of Gastroenterology Guidelines for Colorectal Cancer Screening2008. , American Journal of Gastroenterology 104(3), 739-750.
- 15.Bressler B, Paszat L F, Chen Z L, Rothwell D M, Vinden C et al.(Jan2007) Rates of new or missed colorectal cancers after colonoscopy and their risk factors: A population-based analysis. , Gastroenterology 132(1), 96-102.
- 16.Rex D K, Rahmani E Y, Haseman J H, Lemmel G T, Kaster S et al.(Jan1997) Relative sensitivity of colonoscopy and barium enema for detection of colorectal cancer in clinical practice. , Gastroenterology 112(1), 17-23.
- 17.Singh H, Nugent Z, Mahmud S M, Demers A A, Bernstein C N.(Mar2010) Predictors of colorectal cancer after negative colonoscopy: a population-based study. The American journal of gastroenterology quiz674. 105(3), 663-673.
- 18.Singh H, Turner D, Xue L, Targownik L E, Bernstein C N. (2007) Colorectal cancers after a negative colonoscopy. Gastroenterology.132(4):A149-A149
- 19.Baxter N N, Goldwasser M A, Paszat L F, Saskin R, Urbach D R et al.(Jan6,2009) Association of colonoscopy and death from colorectal cancer. , Ann Intern Med 150(1), 1-8.
- 20.Brenner H, Chang-Claude J, Seiler C M, Hoffmeister M.(Nov2012) Interval cancers after negative colonoscopy: population-based case-control study. , Gut 61(11), 1576-1582.
- 21.Brenner H, Chang-Claude J, Seiler C M, Rickert A, Hoffmeister M.(Jan4,2011) Protection From Colorectal Cancer After Colonoscopy A Population-Based, Case-Control Study. , Ann Intern Med 154(1), 22-156.
- 22.Brenner H, Hoffmeister M, Arndt V, Stegmaier C, Altenhofen L et al.(Jan20,2010) Protection From Right- and Left-Sided Colorectal Neoplasms After Colonoscopy: Population-Based Study. , J Natl Cancer I 102(2), 89-95.
- 23.Pabby A, Schoen R E, Weissfeld J L.(Mar2005)Analysis of colorectal cancer occurrence during surveillance colonoscopy in the dietary Polyp Prevention Trial. Gastrointestinal endoscopy. 61(3), 385-391.
- 24.Lakoff J, Paszat L F, Saskin R, Rabeneck L.(Oct2008) Risk of developing proximal versus distal colorectal cancer after a negative colonoscopy: a population-based study. Clinical gastroenterology and hepatology:the official clinical practice journal of the American Gastroenterological Association quiz 1064. 6(10), 1117-1121.
- 25.Shah H A, Paszat L F, Saskin R, Stukel T A, Rabeneck L.(Jun2007) Factors associated with incomplete colonoscopy: a population-based study. , Gastroenterology 132(7), 2297-2303.
- 26.Hanson M E, Pickhardt P J, Kim D H, Pfau P R.(Oct2007) Anatomic factors predictive of incomplete colonoscopy based on findings at CT colonography. , Am J Roentgenol 189(4), 774-779.
- 27.Parra-Blanco A, Nicolas-Perez D, Gimeno-Garcia A.(Oct14,2006) The timing of bowel preparation before colonoscopy determines the quality of cleansing, and is a significant factor contributing to the detection of flat lesions: a randomized study. World journal of gastroenterology:. , WJG 12(38), 6161-6166.
- 28.Goldstein N S, Bhanot P, Odish E, Hunter S.(Jun2003) Hyperplastic-like colon polyps that preceded microsatellite-unstable adenocarcinomas. American journal of clinical pathology. 119(6), 778-796.
- 29.Hetzel J T, Huang C S, Coukos J A.(Dec2010) Variation in the detection of serrated polyps in an average risk colorectal cancer screening cohort. The American journal of gastroenterology. 105(12), 2656-2664.
- 30.Kahi C J, Hewett D G, Norton D L, Eckert G J, Rex D K.(Jan2011) Prevalence and Variable Detection of Proximal Colon Serrated Polyps During Screening Colonoscopy. Clin Gastroenterol H. 9(1), 42-46.
- 31.Kahi C J, Li X, Eckert G J, Rex D K.(Mar2012) High colonoscopic prevalence of proximal colon serrated polyps in average-risk men and women. Gastrointestinal endoscopy. 75(3), 515-520.
- 32.Rosenberg D W, Yang S, Pleau D C.(Apr15,2007) Mutations in BRAF and KRAS differentially distinguish serrated versus non-serrated hyperplastic aberrant crypt foci in humans. , Cancer research 67(8), 3551-3554.
- 33.Samowitz W S, Sweeney C, Herrick J.(Jul15,2005) Poor survival associated with the BRAF V600E mutation in microsatellite-stable colon cancers. , Cancer research 65(14), 6063-6069.
- 34.Rex D K, Ahnen D J, Baron J A.(Sep2012) Serrated lesions of the colorectum: review and recommendations from an expert panel. The American journal of gastroenterology quiz1314,1330. 107(9), 1315-1329.
- 35.de Wijkerslooth TR, Stoop E M, Bossuyt P M.(Jan12,2013) Differences in proximal serrated polyp detection among endoscopists are associated with variability in withdrawal time. Gastrointestinal endoscopy.
- 36.Miller R E, Lehman G.(Nov1978) Polypoid colonic lesions undetected by endoscopy. , Radiology 129(2), 295-297.
- 37.Pickhardt P J, Nugent P A, Mysliwiec P A, Choi J R, Schindler W R. (2004) Location of adenomas missed by optical colonoscopy. , Ann Intern Med 141(5), 352-359.
- 39.Pickhardt P J, Choi J R, Hwang I.(Dec4,2003) Computed tomographic virtual colonoscopy to screen for colorectal neoplasia in asymptomatic adults. The New England journal of medicine. 349(23), 2191-2200.
- 40.Singh H, Nugent Z, Demers A A, Kliewer E V, Mahmud S M et al.(Oct2010) The reduction in colorectal cancer mortality after colonoscopy varies by site of the cancer. , Gastroenterology 139(4), 1128-1137.
- 41.Copel L, Sosna J, Kruskal J B, Raptopoulos V, Farrell R J et al.. (Aug2007) CT colonography in 546 patients with incomplete colonoscopy. Radiology 244(2), 471-478.
- 42.Marshall J B, Barthel J S.(Jul-Aug1993) The frequency of total colonoscopy and terminal ileal intubation in the 1990s. Gastrointestinal endoscopy. 39(4), 518-520.
- 43.Hewett D G, Rex D K.(Aug2011) Miss rate of right-sided colon examination during colonoscopy defined by retroflexion: an observational study. , Gastrointestinal endoscopy 74(2), 246-252.
- 44.El-Maraghi R H, Kielar A Z.(May2009) CT Colonography Versus Optical Colonoscopy for Screening Asymptomatic Patients for Colorectal Cancer:. , A Patient, Intervention, Comparison, Outcome (PICO) Analysis. Acad Radiol 16(5), 564-571.
- 45.Kim D H, Pickhardt P J, Taylor A J.(Oct4,2007) CT colonography versus colonoscopy for the detection of advanced neoplasia. The New England journal of medicine. 357(14), 1403-1412.
- 46.Vijan S, Hwang I, Inadomi J.(Feb2007) The cost-effectiveness of CT colonography in screening for colorectal neoplasia. The American journal of gastroenterology. 102(2), 380-390.
Cited by (10)
This article has been cited by 10 scholarly works according to:
Citing Articles:
Zepeng Wang, Jiyuan Tian, Yang Liu, Ana Neves, S. Prasad - Multibody system dynamics (2025) Semantic Scholar
Multibody System Dynamics (2025) Crossref
Multibody System Dynamics (2025) OpenAlex
Yao Yan, Ruifeng Guo, Jiyuan Tian, Yang Liu - European Journal of Mechanics - A/Solids (2024) Semantic Scholar
European Journal of Mechanics - A/Solids (2024) Crossref
European Journal of Mechanics - A/Solids (2024) OpenAlex
Joseph B. Weiss, N. Cetel, D. Weiss - Cleveland Clinic journal of medicine (2019) Semantic Scholar
Gregory A. Formosa, J. M. Prendergast, Jinghui Peng, D. Kirkpatrick, M. Rentschler - IEEE Robotics and Automation Letters (2018) Semantic Scholar
IEEE Robotics and Automation Letters (2018) Crossref
IEEE Robotics and Automation Letters (2018) OpenAlex
J. M. Prendergast, Gregory A. Formosa, M. Rentschler - IEEE Robotics and Automation Letters (2018) Semantic Scholar
IEEE Robotics and Automation Letters (2018) Crossref
IEEE Robotics and Automation Letters (2018) OpenAlex
